車禍撞斷9根肋骨!患心血管疾病的80歲老翁「持續吃慢性病藥物」反變血胸差點休克

▲車禍撞斷9根肋骨!患心血管疾病的80歲老翁「持續吃慢性病藥物」反變血胸差點休克
每日健康-每日都做得到的健康-2024-01-18 11:50:43
心血管患者常使用口服抗凝血劑防止血栓,但一名80歲的王老先生車禍撞及胸腔肋骨後,仍持續服用,反而讓出血點擴大血流,造成血胸,胸膜腔內布滿血液,差點休克。衛福部彰化醫院胸腔創傷微創重建中心主任林聿騰提醒,服用抗凝血劑的民眾遇到意外要特別注意其後續影響

我是廣告 請繼續往下閱讀

車禍撞斷9根肋骨!80歲老翁持續吃抗凝血劑反變「血胸」 差點休克


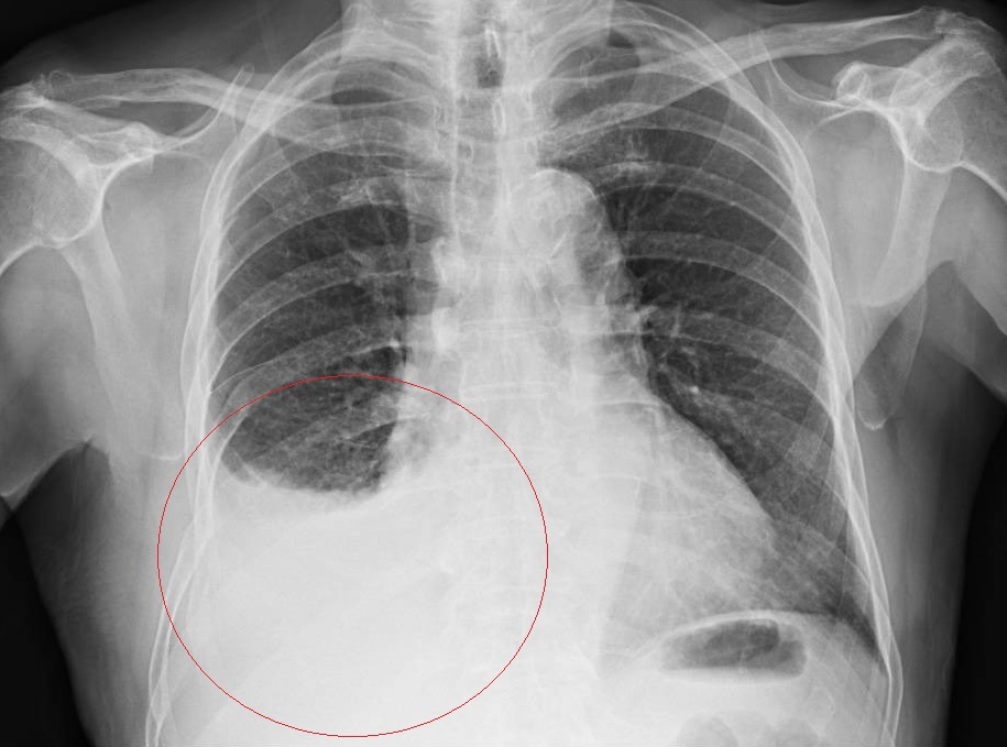
▲ X光片顯示老翁嚴重血胸(圖/彰化醫院提供) 

王老先生表示,日前騎機車摔倒導致胸腔疼痛,就近到某地區醫院看診,被診斷出右胸1根肋骨斷裂,追蹤即可,但他一直很痛,又聽說肋骨斷裂會慢慢癒合,就一直服藥忍痛,而他原本就有心血管疾病、高血壓及糖尿病,也是持續服用含有抗凝血劑的慢性病藥物。過了3天後,他胸腔持續很痛,連呼吸都痛,接著還出現呼吸困難,臉色慘白,所以他才轉至衛福部彰化醫院就醫。

林聿騰指出,王老先生到院時臉色慘白,隨時會昏倒的感覺,檢測血液發現其血紅素低至5g/dl,比一般男性正常的14~18低了很多,有休克之虞,而且胸膜腔內滿是血液,研判胸腔內一定有出血點,經內視鏡手術止住血管的出血點並輸血後才開始好轉。

林聿騰說,王老先生右胸肋骨有9根斷裂,並不是只有1根,有的斷裂處可能是車禍之後才顯現。在王老先生止住出血點之後1週,在胸腔創傷微創重建中心進行微創肋骨手術,固定9根肋骨及重建胸廓。

車禍撞斷9根肋骨!80歲老翁持續吃抗凝血劑反變「血胸」 差點休克


▲ 老翁在胸腔創傷微創重建中心進行微創肋骨手術,固定9根肋骨及重建胸廓(圖/彰化醫院提供)

林聿騰表示,一般人會稱抗凝血劑是來「通血路」,以免血栓阻塞血管,減低中風的機率,而患者長期服用的慢性口服藥之中有2種抗凝血劑,患者並不知其藥中有抗凝血劑,在車禍後就醫時也未告知醫師有長期服用,其在車禍造成胸腔小血管出血後,因抗凝血劑而凝血功能不佳,以致無法止血,慢慢造成血胸。

林聿騰強調,除了預計手術要停用抗凝血劑之外,萬一發生突發意外,恐有內出血之虞時,最好要告知醫師,以避免血胸等情況的發生。

 

 

車禍撞斷9根肋骨!80歲老翁持續吃抗凝血劑反變「血胸」 差點休克


▲ 林聿騰醫師提醒預計手術要停用抗凝血劑之外,萬一發生突發意外,恐有內出血之虞時,最好要告知醫師(圖/彰化醫院提供)

車禍撞斷9根肋骨!80歲老翁持續吃抗凝血劑反變「血胸」 差點休克


▲ 林聿騰醫師探視患者(圖/彰化醫院提供)

我是廣告 請繼續往下閱讀

 

延伸閱讀
用「AI人工智慧」輔助社區衛教!新竹市共創「青銀共融」健康好生活
促進腦細胞發育防健忘! 營養師揭「Omega-3」含量排行榜:1食物竟比鯖魚高10倍

我是廣告 請繼續往下閱讀

我是廣告 請繼續往下閱讀