矽肺症不可逆!醫曝「2種粉塵」恐直接進肺泡 這行業更容易中招

▲矽肺症不可逆!醫曝「2種粉塵」恐直接進肺泡 這行業更容易中招
每日健康-每日都做得到的健康-2024-01-23 15:50:44
矽肺症是塵肺症的一種,常見於人造石工業環境中,工人因防護措施不完備不慎將二氧化矽粉塵吸入肺部,粉塵沉積於肺泡之中導致肺部慢性發炎和纖維化,使肺部彈性變差、氣體交換功能受損,常伴隨著咳嗽、呼吸困難、運動不耐受等症狀。花蓮慈濟醫院胸腔內科主治醫師劉迪塑表示,矽肺症屬於不可逆的吸入性肺部疾病,即便病人停止暴露在粉塵環境裡,病程仍然會持續進展,因此預防的重要性不可忽視,呼籲相關從業者應多加注意。

我是廣告 請繼續往下閱讀

矽肺症不可逆!醫曝「2種粉塵」恐直接進肺泡 這行業更容易中招


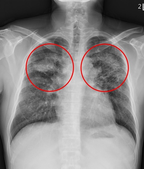
▲ 劉迪塑醫師指出,矽肺症患者的肺部因發炎反應和局部纖維化而產生許多間質性結節,嚴重時甚至會發展為漸進性大量纖維化,在雙上肺葉形成對稱的腫塊。(圖/花蓮慈濟醫院提供) 

矽肺症屬不可逆疾病!恐持續惡化

劉迪塑醫師表示,並非所有粉塵吸入肺部都可能導致塵肺症,通常10微米以上的粒子在進入呼吸道之前就會被鼻毛阻擋,但若粉塵小於5微米,就可能被吸到肺部最遠端,甚至進入肺泡裡;一旦進到肺泡,這些微小的粉塵粒子就無法被人體代謝或排出,會被肺泡中的巨噬細胞吞噬,最終進入淋巴系統,持續造成肺泡慢性發炎和纖維化。

劉迪塑指出,一般大理岩或花崗岩的開採,環境中的二氧化矽濃度可能介於2%到40%之間,吸入粉塵後所致的矽肺症多以慢性為主,且經常需要長達10至20年的暴露才會使肺部出現一定程度的纖維化,影響患者呼吸。但在人造石的工程中,二氧化矽濃度卻可能達到97%!即便吸入粉塵的時間很短,因暴露的濃度非常高,人造石產業的致病風險仍遠高於普通砂石開採,也因此在臨床上的症狀表現往往屬於急性。

 

矽肺症不可逆!醫曝「2種粉塵」恐直接進肺泡 這行業更容易中招


▲ 花蓮慈院胸腔內科主治醫師劉迪塑提醒矽肺症不可逆。(圖/花蓮慈濟醫院提供)

矽肺症無特效藥!建議從業者多加防護

劉迪塑醫師呼籲,矽肺症通常為職業暴露災害,從業者工作時務必妥善防護,使用工業級的防護口罩或面罩,避免直接將粉塵吸入肺部,並注意場所通風系統是否完備;也建議矽肺症病患施打流感疫苗及肺炎鏈球菌疫苗,以避免肺部感染造成疾病惡化。

我是廣告 請繼續往下閱讀

 

延伸閱讀
體重「突然暴跌」先別高興太早! 醫示警:爆發「腸漏症」恐波及心血管功能
早上7點做「中等強度運動」瘦更快? 研究證實:BMI、腰圍下降幅度最大

我是廣告 請繼續往下閱讀

我是廣告 請繼續往下閱讀