資深演藝人員馬如龍因病離世,「神經內分泌腫瘤」疑是主因之一。安南醫院消化科醫師蔡坤峰表示,「神經內分泌腫瘤」目前發生原因仍未明,但發生率有逐漸增加趨勢,通常好發於40~69歲年齡層,男性比例高於女性,此病與人體神經系統分布有關。
蔡坤峰指出,一般人對「神經內分泌腫瘤」比較陌生,根據荷爾蒙分泌情況、出現症狀,神經內分泌腫瘤可分為兩種,一是「功能性」腫瘤,特別是胰腸胃道腫瘤,時常以熱潮紅、腹痛、腹瀉、低血糖、盜汗等症狀表現;另一種為「非功能性」腫瘤,通常沒有症狀發生,因此發現時均較嚴重且合併轉移。綜合而言,神經內分泌腫瘤約6成生長在胰臟或胃腸道,其次則生長在肺部或支氣管。
蔡坤峰強調,此類腫瘤相當不易診斷,通常從發生到診斷約需5~6年時間,但隨著健檢與內視鏡檢查的普及化,某些生長於消化道之神經內分泌腫瘤得以早期發現,並且可透過內視鏡手術切除。

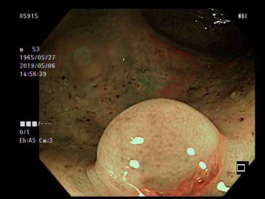
▲在胃部發現的神經內分泌腫瘤。(圖/安南醫院提供)
此類腫瘤如何治療,蔡坤峰說,端看病人腫瘤位置大小與組織之分化狀況,雖然神經內分泌腫瘤通常來說病程緩慢、存活期率高,但因不同期別之故,治療方式亦大不相同。蔡坤峰表示,若組織切片為分化良好(G1)或是分化中度(G2),因腫瘤生長速度較慢,通常建議病人手術或合併荷爾蒙療法治療,如此能更有效控制腫瘤惡化,並兼顧病人生活品質。
目前健保給付已通過新型長效型體抑素,可針對神經內分泌瘤之症狀進行控制,提升無症狀存活期可能性。至於分化不良期別(G3)因惡性度高,必需考慮化療或標靶治療,目前部分類型的神經內分泌瘤可申請健保標靶治療。終歸老話一句,「預防勝於治療」,蔡坤峰強調,早期診斷、早期治療乃千古不變原則。若自身發現連續數月反覆腹痛、腹瀉、盜汗和不明原因低血壓跟低血糖,即需有所警覺。
神經內分泌腫瘤多屬低惡性度預後佳,不過仍有潛在的惡性化轉移風險,當有所懷疑就要趕快至醫院進行完整抽血與影像內視鏡檢查,以能早期發現治療。
我是廣告 請繼續往下閱讀
蔡坤峰強調,此類腫瘤相當不易診斷,通常從發生到診斷約需5~6年時間,但隨著健檢與內視鏡檢查的普及化,某些生長於消化道之神經內分泌腫瘤得以早期發現,並且可透過內視鏡手術切除。
▲在胃部發現的神經內分泌腫瘤。(圖/安南醫院提供)
此類腫瘤如何治療,蔡坤峰說,端看病人腫瘤位置大小與組織之分化狀況,雖然神經內分泌腫瘤通常來說病程緩慢、存活期率高,但因不同期別之故,治療方式亦大不相同。蔡坤峰表示,若組織切片為分化良好(G1)或是分化中度(G2),因腫瘤生長速度較慢,通常建議病人手術或合併荷爾蒙療法治療,如此能更有效控制腫瘤惡化,並兼顧病人生活品質。
目前健保給付已通過新型長效型體抑素,可針對神經內分泌瘤之症狀進行控制,提升無症狀存活期可能性。至於分化不良期別(G3)因惡性度高,必需考慮化療或標靶治療,目前部分類型的神經內分泌瘤可申請健保標靶治療。終歸老話一句,「預防勝於治療」,蔡坤峰強調,早期診斷、早期治療乃千古不變原則。若自身發現連續數月反覆腹痛、腹瀉、盜汗和不明原因低血壓跟低血糖,即需有所警覺。
神經內分泌腫瘤多屬低惡性度預後佳,不過仍有潛在的惡性化轉移風險,當有所懷疑就要趕快至醫院進行完整抽血與影像內視鏡檢查,以能早期發現治療。