【健康醫療網/記者楊艾庭報導】臺大醫院、國泰綜合醫院與知名科技公司三方合作,研發的「大腸鏡即時AI瘜肉偵測」獲衛福部TFDA醫材許可,加入打擊國人癌症之首—大腸癌的防治工作。這項成果,不僅可望利用AI輔助,提升大腸鏡檢查的效能,並且推動提升大腸癌篩檢品質的各項工程,從目前第一階段的篩檢,到病灶診斷分類以及整體品質之控管,全方位借助 AI 優勢,輔助醫師診治,力求打擊多年來揮之不去的「癌王」夢魘。
切除瘜肉等於避免大腸癌!取代肉眼疏漏、AI偵測準確度高達95%
根據國健署2022年資料顯示,台灣每年有近17,000例大腸癌新發生個案,為最常見的癌症。雖然大腸鏡檢查已被證實能有效降低大腸癌的死亡率與發生率,但因醫師施行大腸鏡時偵測腺瘤能力歧異造成之病灶遺漏,影響其效益甚鉅。國外研究顯示施行大腸鏡時的腺瘤偵測率每提升1%,將可以降低鏡檢後發生大腸癌風險3% 之多,死亡率甚至可以降低5%。
2022年國外研究顯示,藉AI人機協作進行大腸鏡檢查,約可提高14% ~ 30% 的腺瘤偵測率不等。臺大醫院、國泰綜合醫院、科技公司攜手共同研發「大腸鏡即時AI瘜肉偵測」,包括一般肉眼不易觀察到的瘜肉,皆能被AI捕獲,準確度高達95%,可彌補醫師之間偵測能力的差異,為病人人數多、時間又緊迫的醫師與醫療單位提升檢查品質,而病患則可因此獲取更可靠的檢查結果。
大腸鏡即時AI瘜肉偵測資料庫大 已收集逾40萬張影像提供AI訓練
「大腸鏡即時AI瘜肉偵測」,結合台灣消化系醫學與大腸鏡診治重鎮臺大醫院與國泰綜合醫院,跨兩院共收集超過3,000位病患、逾40萬張影像資料提供人工智慧訓練,當中不乏偵測高難度卻又高風險的非隆起型腺瘤,並針對臨床工作流程與人體工學開發而成,期待未來得以提升篩檢效能,保護國人的健康。值得一提的是在研發過程中,團隊動用了多位大腸鏡病灶偵測率極高的專家,與高難度病灶的偵測好手來協助內視鏡影像的標註,無疑是增加了此一系統的可靠性。
國泰綜合醫院消化內科主任洪志聖表示,由於現行大腸鏡檢查仰賴醫師肉眼、臨床經驗,但因人體腸道彎曲,有些微小瘜肉受到腸道轉彎或角度影響,亦或病人清腸不夠徹底,導致醫師可能不易判讀病灶。考量國內對大腸癌的篩檢需求增加,未來醫師執行大腸鏡檢查時若搭配此AI系統,即可憑藉系統同步以每秒30張的影像辨識能力偵測腸道並標示出瘜肉,即時、有效判讀大腸鏡檢查影像,以提升診療品質進而造福病人。
前瞻性多中心臨床試驗 驗證大腸鏡瘜肉偵測率 如火如荼展開
為驗證AI輔助篩檢能提高大腸鏡瘜肉偵測率,目前科技公司與臺大醫院、臺大醫院癌醫中心分院、輔仁大學附設醫院、彰化基督教醫院、新光醫院正進行跨院區的隨機分派臨床試驗前瞻計畫。科技公司表示,運用AI影像輔助系統以提升追蹤大腸鏡之鏡檢品質,是投注大腸癌篩檢的第一步,有效減少病灶遺漏並縮短醫師診斷病灶的時間,解決醫師間偵測診斷能力的落差等痛點。未來也朝向病灶偵測與診斷分類、自動化分析盲腸到達率、大腸鏡報告輔助系統、數位病理診斷與風險分層等,從預防、臨床、改善預後,提供以人工智慧驅動之篩檢生態系,既提升品質又減輕臨床醫師負擔,創造醫師與民眾雙贏的局面。
展望AI輔助大腸癌診治品質提升,該科技公司執行長葉肇元提出兩點關鍵:一、降低資料收集的障礙,以加速、擴大AI的研發與應用;二、政府協助推廣 AI 並鼓勵導入廣大臨床與篩檢場域,真正提升大腸鏡篩檢效能,吸引軟硬體業者、醫療單位投入,壯大生態系,也讓民眾更直接從醫療AI科技的進步受惠,遠離大腸癌的威脅。
解決臨床痛點 滿足篩檢場域所需
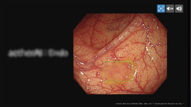
「即時大腸鏡瘜肉自動偵測」能即時自動偵測大腸鏡瘜肉,將病灶位置清楚框選出,並有聲音警示。此技術有高達95.8%的準確率,小於0.2秒低延遲以及低錯誤警示率,將使消化內科、大腸直腸外科與健檢單位醫師施行鏡檢時負擔頓減。隨裝即得的一站式落地方案,簡便立即可用,而模型及資料加密綁定單一硬體,確保資訊安全。

▲「即時大腸鏡瘜肉自動偵測」能即時自動偵測大腸鏡瘜肉,將病灶位置清楚框選出,並有聲音警示。
資料來源:健康醫療網 https://www.healthnews.com.tw/readnews.php?id=55249
喜歡本文請按讚並分享給好友!更多健康資訊:健康醫療網https://www.healthnews.com.tw
我是廣告 請繼續往下閱讀
根據國健署2022年資料顯示,台灣每年有近17,000例大腸癌新發生個案,為最常見的癌症。雖然大腸鏡檢查已被證實能有效降低大腸癌的死亡率與發生率,但因醫師施行大腸鏡時偵測腺瘤能力歧異造成之病灶遺漏,影響其效益甚鉅。國外研究顯示施行大腸鏡時的腺瘤偵測率每提升1%,將可以降低鏡檢後發生大腸癌風險3% 之多,死亡率甚至可以降低5%。
2022年國外研究顯示,藉AI人機協作進行大腸鏡檢查,約可提高14% ~ 30% 的腺瘤偵測率不等。臺大醫院、國泰綜合醫院、科技公司攜手共同研發「大腸鏡即時AI瘜肉偵測」,包括一般肉眼不易觀察到的瘜肉,皆能被AI捕獲,準確度高達95%,可彌補醫師之間偵測能力的差異,為病人人數多、時間又緊迫的醫師與醫療單位提升檢查品質,而病患則可因此獲取更可靠的檢查結果。
大腸鏡即時AI瘜肉偵測資料庫大 已收集逾40萬張影像提供AI訓練
「大腸鏡即時AI瘜肉偵測」,結合台灣消化系醫學與大腸鏡診治重鎮臺大醫院與國泰綜合醫院,跨兩院共收集超過3,000位病患、逾40萬張影像資料提供人工智慧訓練,當中不乏偵測高難度卻又高風險的非隆起型腺瘤,並針對臨床工作流程與人體工學開發而成,期待未來得以提升篩檢效能,保護國人的健康。值得一提的是在研發過程中,團隊動用了多位大腸鏡病灶偵測率極高的專家,與高難度病灶的偵測好手來協助內視鏡影像的標註,無疑是增加了此一系統的可靠性。
國泰綜合醫院消化內科主任洪志聖表示,由於現行大腸鏡檢查仰賴醫師肉眼、臨床經驗,但因人體腸道彎曲,有些微小瘜肉受到腸道轉彎或角度影響,亦或病人清腸不夠徹底,導致醫師可能不易判讀病灶。考量國內對大腸癌的篩檢需求增加,未來醫師執行大腸鏡檢查時若搭配此AI系統,即可憑藉系統同步以每秒30張的影像辨識能力偵測腸道並標示出瘜肉,即時、有效判讀大腸鏡檢查影像,以提升診療品質進而造福病人。
前瞻性多中心臨床試驗 驗證大腸鏡瘜肉偵測率 如火如荼展開
為驗證AI輔助篩檢能提高大腸鏡瘜肉偵測率,目前科技公司與臺大醫院、臺大醫院癌醫中心分院、輔仁大學附設醫院、彰化基督教醫院、新光醫院正進行跨院區的隨機分派臨床試驗前瞻計畫。科技公司表示,運用AI影像輔助系統以提升追蹤大腸鏡之鏡檢品質,是投注大腸癌篩檢的第一步,有效減少病灶遺漏並縮短醫師診斷病灶的時間,解決醫師間偵測診斷能力的落差等痛點。未來也朝向病灶偵測與診斷分類、自動化分析盲腸到達率、大腸鏡報告輔助系統、數位病理診斷與風險分層等,從預防、臨床、改善預後,提供以人工智慧驅動之篩檢生態系,既提升品質又減輕臨床醫師負擔,創造醫師與民眾雙贏的局面。
展望AI輔助大腸癌診治品質提升,該科技公司執行長葉肇元提出兩點關鍵:一、降低資料收集的障礙,以加速、擴大AI的研發與應用;二、政府協助推廣 AI 並鼓勵導入廣大臨床與篩檢場域,真正提升大腸鏡篩檢效能,吸引軟硬體業者、醫療單位投入,壯大生態系,也讓民眾更直接從醫療AI科技的進步受惠,遠離大腸癌的威脅。
解決臨床痛點 滿足篩檢場域所需
「即時大腸鏡瘜肉自動偵測」能即時自動偵測大腸鏡瘜肉,將病灶位置清楚框選出,並有聲音警示。此技術有高達95.8%的準確率,小於0.2秒低延遲以及低錯誤警示率,將使消化內科、大腸直腸外科與健檢單位醫師施行鏡檢時負擔頓減。隨裝即得的一站式落地方案,簡便立即可用,而模型及資料加密綁定單一硬體,確保資訊安全。

資料來源:健康醫療網 https://www.healthnews.com.tw/readnews.php?id=55249
喜歡本文請按讚並分享給好友!更多健康資訊:健康醫療網https://www.healthnews.com.tw