為了健康,壞習慣還是趁早戒了吧!一名40多歲男子因咳嗽一個月不都沒好就醫,未料經X光影像檢查發現已是肺癌末期,還合併其他器官轉移。醫師追問發現患者菸齡近30年,勸癮君子及早戒菸。
胸腔科醫師蘇一峰昨(17)在臉書分享,「40幾歲男性,只是咳嗽一個月而已...」,未料經影像檢查發現,他已肺癌末期且合併其他器官轉移,患者一度無法接受,哭喊「我不相信!我要帶資料再多問幾家醫院!」蘇一峰補充說,「話說這個X光要發現肺癌真的很難...」,並說患者癌細胞已轉移至腎上腺。

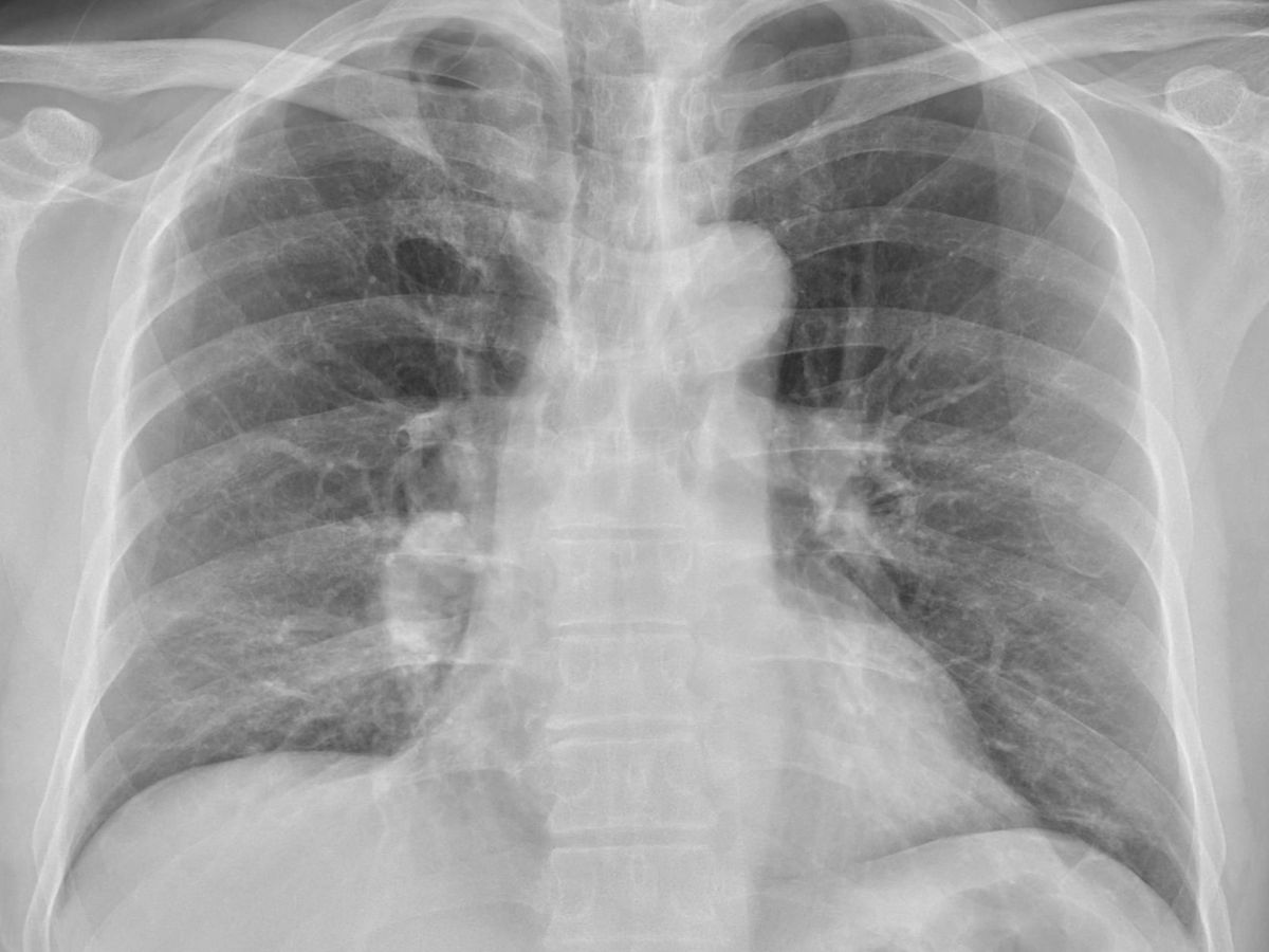
▲蘇一峰圈出肺癌位置(紅圈處),感嘆「這個X光要發現肺癌真的很難」。(圖/翻攝蘇一峰臉書) 貼文一出引發討論,醫師潘建志也留言「我看不出來,丟給AI,也看不出來。(不慌不慌,還有人類放射科醫師。)」,蘇一峰回說「其實這張X光,放射科醫師也沒看出來」,並以紅圈標示出肺癌位置。
不少人好奇患者的生活習慣,是否存在風險因素?蘇一峰也直言患者「有抽菸二三十年了」,網友紛紛留言說「嚇到腿軟」、「好憎smoker,迫人吸二手菸」、「我也好害怕,我吸了20年的二手菸,不知道會不會很糟」。
※【NOWnews 今日新聞】提醒您 吸菸會導致肺癌、心臟血管疾病,未滿20歲不得吸菸!
我是廣告 請繼續往下閱讀

不少人好奇患者的生活習慣,是否存在風險因素?蘇一峰也直言患者「有抽菸二三十年了」,網友紛紛留言說「嚇到腿軟」、「好憎smoker,迫人吸二手菸」、「我也好害怕,我吸了20年的二手菸,不知道會不會很糟」。
※【NOWnews 今日新聞】提醒您 吸菸會導致肺癌、心臟血管疾病,未滿20歲不得吸菸!