【健康醫療網/記者鄭宜芬報導】41歲潛水教練吳先生去年8月潛水時,被暗流捲進船艇航道,慘遭螺旋槳截斷左小腿!救援隊迅速將吳先生及斷肢送往基隆長庚醫院,急診科、麻醉科、影像科、骨科及整形外科通力合作「顯微重建手術」,先從患者正常的右小腿取下25至30公分的靜脈血管做移植,再重建斷肢的血液循環系統、吻合神經,並修復肌肉與肌腱,成功植回斷腿。
基隆長庚醫院整形外科藍靖宇醫師指出,斷肢有潛水裝備包覆,因此沒有感染。船艇螺旋槳完全截斷左小腿,斷口完整,但有粉碎性骨折與血管創傷。當天的緊急手術先由骨科醫師陳建豪將骨頭復位採取外固定,再由整形外科醫師接手迅速進行顯微重建手術,需要高度的技術和精準性,因為不僅要將患者的小腿成功植回,還要確保成功植回後能恢復日常生活,甚至繼續從事潛水活動的功能性。

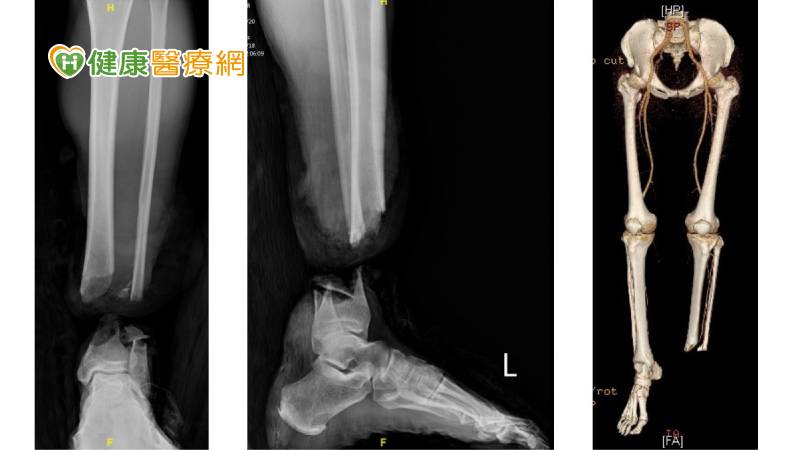
▲▼緊急手術先由骨科醫師將骨頭復位採取外固定,再由整形外科醫師接手迅速進行顯微重建手術。(基隆長庚醫院提供)
肢體因創傷截肢該怎麼辦?
1控制傷害:減少出⾎,肢端直接加壓⽌⾎。
2保存肢體:將肢體放⼊乾淨塑膠袋,並袋外以冰⽔冷浴。
3儘速送醫。
術後,醫療團隊除了傷口照護,也替患者制定了個人化的康復計畫,結合物理治療和康復護理,以確保患者能夠在康復過程中達到最佳效果。基隆長庚外科部副部主任陳志豪表示,這種綜合治療的方法,不僅促進患者的身體康復,還同時關注患者心理健康。他強調,手術成功除了治療技術,也歸功於患者積極配合治療,是康復的關鍵所在。
吳先生植回斷腿,經過3個月的復健如願恢復行走。基隆長庚醫院舉辦記者會分享喜訊,慶祝吳先生奇蹟重生。在遭遇重大創傷的3個月後,吳先生返診時已經可以帶著笑容「走」進診間,醫師確認他的重植肢端的血循良好、動作及感覺神經功能持續恢復,肌腱力量的傳遞也能有效促使腳踝和腳趾的伸直與彎曲。
即使遭遇重大意外仍不放棄潛水夢,吳先生分享:「撿回一條命,沒想到基隆長庚醫院團隊同時考慮到我的職業,藍靖宇醫師手術中仔細的將我的腿進行接合修補與重建,術後悉心的照料也讓我感到非常溫暖與安心。」,「原本在2023年底,我有預計出國潛水的行程,因這次嚴重的受傷,只能取消。但經過手術及術後3個多月迅速的恢復,讓我對未來又充滿希望。」
基隆長庚醫院院長賴旗俊表示,要挽救斷肢患者,必須與時間賽跑,才能減少肢體缺血對患者後續帶來永久性的功能喪失。在這樣的緊急情況下,醫療團隊展現出全面的醫療照護和高度的醫療水平,來幫助吳先生順利康復。而患者在面對逆境時的堅持與勇氣,也鼓舞著人們和傳遞著希望與生命的力量。
資料來源:健康醫療網 https://www.healthnews.com.tw/readnews.php?id=60478
喜歡本文請按讚並分享給好友!更多健康資訊:健康醫療網https://www.healthnews.com.tw
我是廣告 請繼續往下閱讀
斷腿沉入海中 緊急撈上岸送醫接回
回顧意外當下,吳先生第一時間利用潛水裝備,用力拉緊斷口止血,記下斷肢沉沒地點,並迅速返回岸上急救,「事發當下,只想著奮力游回岸上,保全性命。回到岸上,也氣力放盡了,之後就被送至基隆長庚醫院。」被截斷的左小腿距離岸邊約50米遠、位於水下5米深,由另一位教練潛下水中,順利找到斷肢送到醫院。基隆長庚醫院整形外科藍靖宇醫師指出,斷肢有潛水裝備包覆,因此沒有感染。船艇螺旋槳完全截斷左小腿,斷口完整,但有粉碎性骨折與血管創傷。當天的緊急手術先由骨科醫師陳建豪將骨頭復位採取外固定,再由整形外科醫師接手迅速進行顯微重建手術,需要高度的技術和精準性,因為不僅要將患者的小腿成功植回,還要確保成功植回後能恢復日常生活,甚至繼續從事潛水活動的功能性。


1控制傷害:減少出⾎,肢端直接加壓⽌⾎。
2保存肢體:將肢體放⼊乾淨塑膠袋,並袋外以冰⽔冷浴。
3儘速送醫。
骨頭復位 顯微重建手術植回斷腿
顯微重建手術耗時4到6個小時,先從患者正常的右小腿取下25至30公分的靜脈血管做移植,再重建斷肢左小腿的前及後側的2套血液循環系統,同時也重新吻合主要的運動及感覺神經,並修復了小腿包含前側、後側、外側幾乎所有的肌肉與肌腱。術後,醫療團隊除了傷口照護,也替患者制定了個人化的康復計畫,結合物理治療和康復護理,以確保患者能夠在康復過程中達到最佳效果。基隆長庚外科部副部主任陳志豪表示,這種綜合治療的方法,不僅促進患者的身體康復,還同時關注患者心理健康。他強調,手術成功除了治療技術,也歸功於患者積極配合治療,是康復的關鍵所在。
吳先生植回斷腿,經過3個月的復健如願恢復行走。基隆長庚醫院舉辦記者會分享喜訊,慶祝吳先生奇蹟重生。在遭遇重大創傷的3個月後,吳先生返診時已經可以帶著笑容「走」進診間,醫師確認他的重植肢端的血循良好、動作及感覺神經功能持續恢復,肌腱力量的傳遞也能有效促使腳踝和腳趾的伸直與彎曲。
即使遭遇重大意外仍不放棄潛水夢,吳先生分享:「撿回一條命,沒想到基隆長庚醫院團隊同時考慮到我的職業,藍靖宇醫師手術中仔細的將我的腿進行接合修補與重建,術後悉心的照料也讓我感到非常溫暖與安心。」,「原本在2023年底,我有預計出國潛水的行程,因這次嚴重的受傷,只能取消。但經過手術及術後3個多月迅速的恢復,讓我對未來又充滿希望。」
基隆長庚醫院院長賴旗俊表示,要挽救斷肢患者,必須與時間賽跑,才能減少肢體缺血對患者後續帶來永久性的功能喪失。在這樣的緊急情況下,醫療團隊展現出全面的醫療照護和高度的醫療水平,來幫助吳先生順利康復。而患者在面對逆境時的堅持與勇氣,也鼓舞著人們和傳遞著希望與生命的力量。
資料來源:健康醫療網 https://www.healthnews.com.tw/readnews.php?id=60478
喜歡本文請按讚並分享給好友!更多健康資訊:健康醫療網https://www.healthnews.com.tw