72歲林女士3年前經檢查發現有個2公分大的胃黏膜下腫瘤,當時決定持續觀察,但近期腫瘤長大,2個月前因上腹部悶痛且頭暈而就醫,檢查證實腫瘤已近6公分,且膽囊已被結石塞滿,於是接受達文西機械手臂輔助腹腔鏡手術,順利於術後第9天返家,報告則顯示是胃腸道基質瘤合併慢性膽囊炎,未來仍需追蹤。
國泰綜合醫院一般外科主治醫師蔡欣恬說,胃腸道基質瘤是從腸胃道肌肉層間質細胞長出來的惡性腫瘤,約佔所有腸胃道癌症2%,好發於65~69歲,但也有不到2%的機率發生在20歲以下;據跨國統計,此症在香港、台灣、韓國與挪威有較高發生率,每百萬人中有19~22人,美國及加拿大發生率則約每百萬有7~8人。
蔡欣恬表示,胃腸道基質瘤在腫瘤仍小時少有症狀,出現異常時時多已大於2公分,常見如腹部脹悶、噁心嘔吐、大便出血、體重減輕及排便習慣改變等,依照腫瘤生長位置不同而有不同症狀。

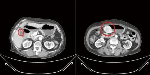
▲林女士不僅胃部長出胃腸道基質瘤,膽囊也嚴重發炎。(圖/國泰醫院提供) 針對胃腸道基質瘤的治療,蔡欣恬指出,以手術切除為主,標靶治療為輔。若經過評估已有遠端轉移,或腫瘤原發位置屬於手術高度危險區域,或腫瘤太大、無法一次手術切除,均可先進行標靶治療,有機會將無法手術的病情轉成可手術,進而產生更好的療效,而據統計,如有標靶藥物介入,整體平均存活率增加3成以上。
蔡欣恬說明,胃腸道基質瘤手術的目標是完整切除腫瘤,而以往這類患者接受的剖腹手術,傷口超過15公分,且位於腹部正中央,明顯影響外觀,加上林女士合併有膽結石,故建議她進行達文西微創手術,可同時細緻處理胃部惡性腫瘤及膽結石,術後僅留下一個3~5公分及3~4個1公分的傷口。
目前衞福部對於多項達文西手術提供健保給付,蔡欣恬以一般外科為例,舉凡肝膽胰手術、腸胃道手術(含減重手術)、疝氣手術等都已納入健保,病人僅需自費相關醫材;她也提醒民眾,因胃腸道基質瘤早期幾乎沒症狀,很容易被忽略,年長者如有腹脹、噁心、大便出血等症狀,應儘速就醫檢查。
我是廣告 請繼續往下閱讀
蔡欣恬表示,胃腸道基質瘤在腫瘤仍小時少有症狀,出現異常時時多已大於2公分,常見如腹部脹悶、噁心嘔吐、大便出血、體重減輕及排便習慣改變等,依照腫瘤生長位置不同而有不同症狀。

蔡欣恬說明,胃腸道基質瘤手術的目標是完整切除腫瘤,而以往這類患者接受的剖腹手術,傷口超過15公分,且位於腹部正中央,明顯影響外觀,加上林女士合併有膽結石,故建議她進行達文西微創手術,可同時細緻處理胃部惡性腫瘤及膽結石,術後僅留下一個3~5公分及3~4個1公分的傷口。
目前衞福部對於多項達文西手術提供健保給付,蔡欣恬以一般外科為例,舉凡肝膽胰手術、腸胃道手術(含減重手術)、疝氣手術等都已納入健保,病人僅需自費相關醫材;她也提醒民眾,因胃腸道基質瘤早期幾乎沒症狀,很容易被忽略,年長者如有腹脹、噁心、大便出血等症狀,應儘速就醫檢查。