45歲蘇先生向來健康,卻突然連續3天無法排氣、排便,腹脹難耐,進食也困難,到急診檢查,竟發現降結腸處長有5公分腫瘤,導致腸道完全阻塞,而經手術切除腫瘤與周邊腸段後,病理證實為第3期大腸癌,已有淋巴轉移,後續需接受化療;醫師說,民眾若察覺排便習慣無故改變,宜速就醫以防有癌變。
台北慈濟醫院大腸直腸外科主治醫師陳昱廷表示,大腸癌初期常無明顯症狀,但隨腫瘤增大,可能引起腹痛、血便、糞便變細或排便型態改變,而當腫瘤逐漸堵塞管徑,約2成患者會出現腸阻塞,進一步恐導致腸壁穿孔或腹膜炎,甚至敗血症,死亡風險極高。
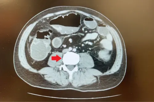
▲蘇先生的電腦斷層影像可發現降結腸處有5公分大腫瘤,並造成腸阻塞。(圖/台北慈院提供) 據國健署統計,大腸癌多年高居國人癌症新增病例首位,以50歲以上族群居多,但近年呈現年輕化趨勢。飲食與生活習慣是主因,包括紅肉與加工肉品攝取過多、缺乏蔬果及膳食纖維、運動不足,及肥胖、糖尿病、吸菸、飲酒和慢性發炎等,都會增加罹癌風險。
陳昱廷指出,診斷上,大腸癌需透過大腸鏡檢查及病理切片確定,並輔以電腦斷層、核磁共振或正子攝影,以判斷腫瘤是否侵犯或轉移,可作為手術依據,而目前手術包含開腹、腹腔鏡微創、單孔微創與達文西機器手臂輔助等,均已發展成熟。
微創手術恢復快,但陳昱廷強調,若腸道嚴重阻塞或腹腔沾黏,開腹仍較安全,須切除病灶前後腸段與淋巴,降低癌細胞殘留風險,術後則可依分期決定是否加上化療或放療;一般來說,第3期病人經手術切除後的5年存活率仍可達5至6成,若能於更早期發現,可達9成以上。
陳昱廷呼籲,因應大腸癌年輕化,衛福部自2025年起將篩檢年齡由50歲下修至45歲,45至75歲民眾每2年可免費進行1次糞便潛血檢查,若呈陽性,醫師會安排大腸鏡評估有無息肉或腫瘤,民眾應好好利用糞便潛血檢查,更把握治療黃金期。
我是廣告 請繼續往下閱讀
陳昱廷指出,診斷上,大腸癌需透過大腸鏡檢查及病理切片確定,並輔以電腦斷層、核磁共振或正子攝影,以判斷腫瘤是否侵犯或轉移,可作為手術依據,而目前手術包含開腹、腹腔鏡微創、單孔微創與達文西機器手臂輔助等,均已發展成熟。
微創手術恢復快,但陳昱廷強調,若腸道嚴重阻塞或腹腔沾黏,開腹仍較安全,須切除病灶前後腸段與淋巴,降低癌細胞殘留風險,術後則可依分期決定是否加上化療或放療;一般來說,第3期病人經手術切除後的5年存活率仍可達5至6成,若能於更早期發現,可達9成以上。
陳昱廷呼籲,因應大腸癌年輕化,衛福部自2025年起將篩檢年齡由50歲下修至45歲,45至75歲民眾每2年可免費進行1次糞便潛血檢查,若呈陽性,醫師會安排大腸鏡評估有無息肉或腫瘤,民眾應好好利用糞便潛血檢查,更把握治療黃金期。