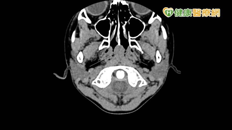
【健康醫療網/記者楊艾庭報導】一名6歲男童,鼻咽部出現腫塊,被誤認為腫瘤,便替他安排頭、頸、胸、腹及骨盆等部位的電腦斷層(CT)檢查,結果在頭頸部發現是正常兒童會有的腺狀體淋巴組織,並非腫瘤,且其餘部位均無異常發現,然而電腦斷層掃描會讓兒童曝露於輻射的疑慮,中華民國放射線醫學會小兒影像診斷次專科委員會召集委員、臺大醫院核子醫學部主任彭信逢醫師表示,根據美國研究指出1,兒童接受電腦斷層檢查,每一次CT掃描,終身約增加0.03-0.05%罹患癌症的風險,且會「逐次累積」,建議若非必要應以其他無輻射的檢查方式替代,如超音波、磁振造影等。

![]()
▲6歲男童鼻咽部出現疑似腫塊。
醫療機構是輻射劑量最主要來源 台灣恐有過度使用情形
每一個人每天都會曝露於輻射中,包括受到宇宙射線等天然背景輻射影響,尤其經常搭飛機的人,背景輻射值就會相對高一點。在台灣,每年每人平均接收1.6毫西弗的天然背景輻射量,除此之外,彭信逢醫師表示,「還有一個主要輻射劑量來源是醫療機構當中的游離輻射檢查工具,如電腦斷層或X光。」小朋友若接受這些檢查,就會提高輻射劑量。
台灣健保制度相當完善,比起其他國家,台灣更有方便安排到這類檢查,因此可能出現過度使用的情形。彭信逢醫師補充,電腦斷層檢查在健保當中有「部分負擔」制度,是指兒童疑似有某種疾病,需針對多處部位進行檢查,仍屬於同一筆部分負擔費用,乍看之下很划算,但是當多部位同時做電腦斷層檢查,兒童接受到的輻射劑量就會大幅增加。
電腦斷層是天然輻射量的4-5倍
X光與電腦斷層都以X射線作為成像工具的能源來源,彭信逢醫師說明,基本上都是使用電子束或陰極射線等,打擊到陽極靶上面,放出X光射線,當X射線穿透物體時,對於不同組織例如人的骨骼、軟組織肌肉等, X光穿透能力不一樣,如果組織穿透能力高,X光穿透會較多;反之,若是組織穿透能力較低的像骨頭就會把X光遮掉,會出現陰影區域,再加上影像重組之後,因組織不同,影像呈現密度就會有所差異,依此判斷是屬於哪類組織與部位,例如腫瘤和正常組織的成像有差別,可幫助臨床醫師診斷。
正常人每年接受天然背景輻射約 1.6毫西弗,彭信逢主任表示,胸部X光劑量大約為0.02毫西弗,因此疑慮並不高,但若是傳統的胸部電腦斷層劑量高達7毫西弗,等於是天然背景輻射劑量的4-5倍。
若是多部位檢查,接受輻射範圍擴大,劑量就會更高;若是多次檢查,輻射劑量就會以倍數成長。彭信逢主任指出,不過現今的檢查儀器可以調控劑量,以自動偵測組織接收的劑量來調控輸出的劑量,讓小朋友檢查時可以控制在成人的三分之一至二分之一劑量,約等於2-3.5毫西弗,但是如果一年做多次檢查,仍會以倍數成長。
青少年接受太多輻射恐基因變異 若非必要建議用其他檢查替代
彭信逢主任強調,從新生兒到青少年,身體器官系統尚在成長,因此對於游離輻射更加敏感,特別是免疫系統、淋巴等組織等都還在成長中,照射到輻射線以後,將來可能產生基因變異、癌症機會比成人高,其他像水晶體或甲狀腺等,皆屬於對輻射線較敏感的部位,兒童游離輻射檢查建議慎用。
假設兒童懷疑罹患某種疾病,需要進一步檢查時,彭信逢主任建議,要思考「是不是一定要接受輻射檢查曝露才能達到臨床診療效果?」其實還有很多替代方式,例如超音波,尤其是新生兒可獲取從頭到腳包含可能病灶範圍、大小、樣態、對器官的影響等重要診斷資訊;其他例如磁振掃描(MRI),可在沒有使用游離輻射的情況下,針對頭、頸、肝臟、骨盆腔、頸椎、胸椎、腰椎等重要部位進行檢查,甚至比電腦斷層成像提供更豐富影像資訊。現今少子化,盡量不讓發育中的兒童接收過度的輻射量,醫療人員也應盡力替兒童的未來謹慎把關。
1.參考資料:What Parents Should Know About CT Scans for Children: Medical Radiation Safety
資料來源:健康醫療網 https://www.healthnews.com.tw/readnews.php?id=53892
喜歡本文請按讚並分享給好友!更多健康資訊:健康醫療網https://www.healthnews.com.tw
我是廣告 請繼續往下閱讀

醫療機構是輻射劑量最主要來源 台灣恐有過度使用情形
每一個人每天都會曝露於輻射中,包括受到宇宙射線等天然背景輻射影響,尤其經常搭飛機的人,背景輻射值就會相對高一點。在台灣,每年每人平均接收1.6毫西弗的天然背景輻射量,除此之外,彭信逢醫師表示,「還有一個主要輻射劑量來源是醫療機構當中的游離輻射檢查工具,如電腦斷層或X光。」小朋友若接受這些檢查,就會提高輻射劑量。
台灣健保制度相當完善,比起其他國家,台灣更有方便安排到這類檢查,因此可能出現過度使用的情形。彭信逢醫師補充,電腦斷層檢查在健保當中有「部分負擔」制度,是指兒童疑似有某種疾病,需針對多處部位進行檢查,仍屬於同一筆部分負擔費用,乍看之下很划算,但是當多部位同時做電腦斷層檢查,兒童接受到的輻射劑量就會大幅增加。
電腦斷層是天然輻射量的4-5倍
X光與電腦斷層都以X射線作為成像工具的能源來源,彭信逢醫師說明,基本上都是使用電子束或陰極射線等,打擊到陽極靶上面,放出X光射線,當X射線穿透物體時,對於不同組織例如人的骨骼、軟組織肌肉等, X光穿透能力不一樣,如果組織穿透能力高,X光穿透會較多;反之,若是組織穿透能力較低的像骨頭就會把X光遮掉,會出現陰影區域,再加上影像重組之後,因組織不同,影像呈現密度就會有所差異,依此判斷是屬於哪類組織與部位,例如腫瘤和正常組織的成像有差別,可幫助臨床醫師診斷。
正常人每年接受天然背景輻射約 1.6毫西弗,彭信逢主任表示,胸部X光劑量大約為0.02毫西弗,因此疑慮並不高,但若是傳統的胸部電腦斷層劑量高達7毫西弗,等於是天然背景輻射劑量的4-5倍。
若是多部位檢查,接受輻射範圍擴大,劑量就會更高;若是多次檢查,輻射劑量就會以倍數成長。彭信逢主任指出,不過現今的檢查儀器可以調控劑量,以自動偵測組織接收的劑量來調控輸出的劑量,讓小朋友檢查時可以控制在成人的三分之一至二分之一劑量,約等於2-3.5毫西弗,但是如果一年做多次檢查,仍會以倍數成長。
青少年接受太多輻射恐基因變異 若非必要建議用其他檢查替代
彭信逢主任強調,從新生兒到青少年,身體器官系統尚在成長,因此對於游離輻射更加敏感,特別是免疫系統、淋巴等組織等都還在成長中,照射到輻射線以後,將來可能產生基因變異、癌症機會比成人高,其他像水晶體或甲狀腺等,皆屬於對輻射線較敏感的部位,兒童游離輻射檢查建議慎用。
假設兒童懷疑罹患某種疾病,需要進一步檢查時,彭信逢主任建議,要思考「是不是一定要接受輻射檢查曝露才能達到臨床診療效果?」其實還有很多替代方式,例如超音波,尤其是新生兒可獲取從頭到腳包含可能病灶範圍、大小、樣態、對器官的影響等重要診斷資訊;其他例如磁振掃描(MRI),可在沒有使用游離輻射的情況下,針對頭、頸、肝臟、骨盆腔、頸椎、胸椎、腰椎等重要部位進行檢查,甚至比電腦斷層成像提供更豐富影像資訊。現今少子化,盡量不讓發育中的兒童接收過度的輻射量,醫療人員也應盡力替兒童的未來謹慎把關。
1.參考資料:What Parents Should Know About CT Scans for Children: Medical Radiation Safety
資料來源:健康醫療網 https://www.healthnews.com.tw/readnews.php?id=53892
喜歡本文請按讚並分享給好友!更多健康資訊:健康醫療網https://www.healthnews.com.tw