雖然輕微腹痛在多數情況下不會引起大問題,但若持續感覺悶痛,就千萬不要輕忽!胃腸肝膽科醫師錢政弘分享一起病例,一名60多歲的女患者因為腹部悶痛就診,未料做完腹部超音波後,發現右下腹「多了一個腎臟」,結果進一步檢查確診是大腸癌。
▲ 女患者因為右下腹悶痛就診,竟檢查出大腸癌。
錢政弘在臉書粉專《錢政弘 胃腸肝膽科醫師》發文提到,該名女患者在過去2週持續感覺右下腹悶痛,且彎腰時下腹有點卡卡的,而錢政弘替她觸診後,發現右下腹按壓時較僵硬,懷疑盲腸出問題,但女患者只有輕微壓痛,沒有發燒或畏寒,不像急性的闌尾炎的表現,加上最近女患者的排便狀況也很正常,讓他一時無法確定病因。
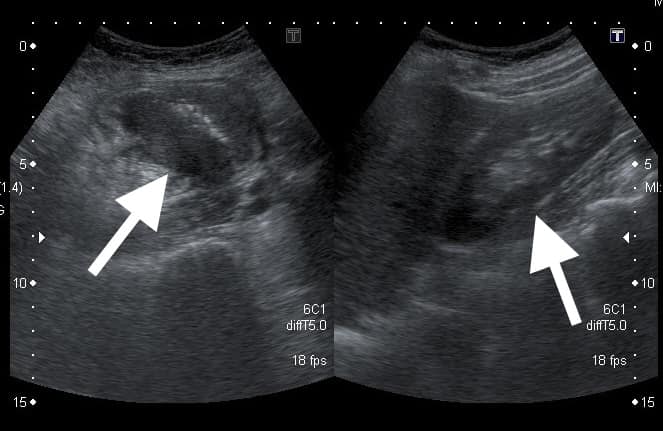
錢政弘表示,隔天進行腹部超音波檢查時,發現女患者的右下腹有一個不尋常的構造,疑似多了一個大約5公分的腎臟,且位置正是患者壓痛的地方,讓他頓時感覺不妙,直言「這是偽腎臟(pseudokidney sign),通常不是發生腸套疊就是大腸癌」,隨後錢政弘替女患者做大腸鏡檢查,驚見盲腸裡有一個環形生長的腫瘤,切片後證實是大腸癌。

圖/翻攝自 臉書/錢政弘 胃腸肝膽科醫師 ▲ 錢政弘曬出超音波照片,右圖箭頭處是患者的右側腎臟,左圖箭頭則是「偽腎臟」。
錢政弘指出,盲腸是大腸的起點,也是大腸的一部分,盲腸癌佔大腸癌的9%,此處因為糞便還沒有形成,所以長腫瘤並不會影響排便,也不會有血便的症狀,直到腫瘤太大,造成腸阻塞或合併急性闌尾炎才會被發現。
錢政弘強調,大腸癌常見的4大症狀,包括排便習慣改變、血便、貧血和腹痛,但這名女患者的盲腸癌症狀僅是「輕微右下腹痛」,並非典型症狀,因此女患者沒有及時意識到自己的身體出了大問題。錢政弘也提醒,若要清楚檢查盲腸,建議在做大腸鏡檢查前攝取低渣飲食和清腸,若腸子沒有清乾淨,很容易因為糞便覆蓋而無法檢查清楚盲腸的狀況。
本文經胃腸肝膽科醫師錢政弘臉書粉專《錢政弘 胃腸肝膽科醫師》授權報導
延伸閱讀
食物放微波爐有「致癌」疑慮? 營養師澄清:常做「4種行為」更危險
國人不健康存活8.5年! 亞健康時代全齡都需要「健康守護圈」
我是廣告 請繼續往下閱讀
錢政弘在臉書粉專《錢政弘 胃腸肝膽科醫師》發文提到,該名女患者在過去2週持續感覺右下腹悶痛,且彎腰時下腹有點卡卡的,而錢政弘替她觸診後,發現右下腹按壓時較僵硬,懷疑盲腸出問題,但女患者只有輕微壓痛,沒有發燒或畏寒,不像急性的闌尾炎的表現,加上最近女患者的排便狀況也很正常,讓他一時無法確定病因。
錢政弘表示,隔天進行腹部超音波檢查時,發現女患者的右下腹有一個不尋常的構造,疑似多了一個大約5公分的腎臟,且位置正是患者壓痛的地方,讓他頓時感覺不妙,直言「這是偽腎臟(pseudokidney sign),通常不是發生腸套疊就是大腸癌」,隨後錢政弘替女患者做大腸鏡檢查,驚見盲腸裡有一個環形生長的腫瘤,切片後證實是大腸癌。

錢政弘指出,盲腸是大腸的起點,也是大腸的一部分,盲腸癌佔大腸癌的9%,此處因為糞便還沒有形成,所以長腫瘤並不會影響排便,也不會有血便的症狀,直到腫瘤太大,造成腸阻塞或合併急性闌尾炎才會被發現。
錢政弘強調,大腸癌常見的4大症狀,包括排便習慣改變、血便、貧血和腹痛,但這名女患者的盲腸癌症狀僅是「輕微右下腹痛」,並非典型症狀,因此女患者沒有及時意識到自己的身體出了大問題。錢政弘也提醒,若要清楚檢查盲腸,建議在做大腸鏡檢查前攝取低渣飲食和清腸,若腸子沒有清乾淨,很容易因為糞便覆蓋而無法檢查清楚盲腸的狀況。
本文經胃腸肝膽科醫師錢政弘臉書粉專《錢政弘 胃腸肝膽科醫師》授權報導
延伸閱讀
食物放微波爐有「致癌」疑慮? 營養師澄清:常做「4種行為」更危險
國人不健康存活8.5年! 亞健康時代全齡都需要「健康守護圈」