【健康醫療網/記者陳佳慧報導】「阿嬤妳怎麼沒感覺?」這句廣告台詞深深停留在許多台灣人的腦海中,當腳踏車輪輾過,小女孩急著大哭,但阿嬤卻沒感覺的情緒對比十分強烈;但你知道其實很多台灣老人家,真的如同電視廣告內的劇情,手腳「沒感覺」嗎?
因為症狀比心肌梗塞更不容易察覺,因此患者就醫時往往都已經非常嚴重,甚至有些患者手腳都已經發黑了而不自知,子女發現後才緊急到醫院進行治療,也導致許多罹患周邊動脈阻塞的老年族群截肢率非常高。好在隨著血管支架的問世,才讓這類的病患有機會能免於截肢、餘生都要乘坐輪椅的下場。
然而,這帶來了新的問題,放置金屬支架後不久,一些患者出現了再度阻塞的情況。經過深入研究後,醫學界發現這些患者的血管出現了一種類似蟹足腫的排斥反應(血管內膜異常增生),導致血管再次狹窄阻塞,甚至比原本的情況更加嚴重。直到20年前,醫學界終於研發出了塗藥金屬支架用於心臟血管,這種支架利用特殊藥物(紫杉醇)塗抹於金屬表面上的聚合物膜,不受血液沖刷影響,有效阻止血管內膜異常增生、發生類似蟹足腫的狀況,終於改善了支架再堵塞的問題,而這項科技在最近幾年也開始大量用在下肢血管,且取得很好的成果。

▲患者因下肢動脈血管阻塞,血液代償性繞道由較小的血管通過,造成血流比一般人小,會出現腿部無力、麻、冷或是間歇性跛足等症狀。

▲朱新凱醫師表示,目前使用塗藥支架是嚴重周邊動脈阻塞患者,術後再阻塞(再狹窄)率最低的手術方式之一,若經濟許可,患者能以差額負擔的方式使用此手術。

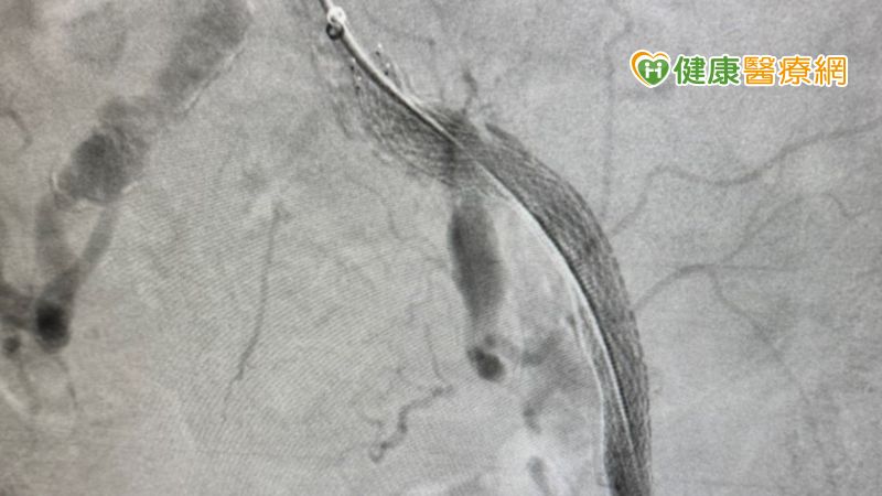
▲朱新凱醫師表示,臨床上很常可以看到同一條血管多段堵塞的患者,醫師會評估最適合患者的治療方式(圖為使用支架放置術撐開血管)。
朱醫師最後也提醒,周邊動脈阻塞放置支架已經是最後一步,要從根本解決血管阻塞的問題,還是必須要配合改善糖尿病、高血壓、高血脂等三高問題,維持良好生活習慣、多運動並保持健康飲食做起。
資料來源:健康醫療網 https://www.healthnews.com.tw/readnews.php?id=60179
喜歡本文請按讚並分享給好友!更多健康資訊:健康醫療網https://www.healthnews.com.tw
我是廣告 請繼續往下閱讀
老人家手腳冰冷 注意可能是「周邊動脈阻塞」在作祟
周邊動脈阻塞在台灣相當常見,約有近15%的老人家有這方面的疾病,尤其常發生在中老年糖尿病患者身上。因為血管阻塞,患者流往四肢的血流不夠,可能會出現手腳冰冷、麻、痛或是走幾步路就覺得腳酸的症狀,但在休息過後卻又可以繼續行走(間歇性跛足)。因為症狀比心肌梗塞更不容易察覺,因此患者就醫時往往都已經非常嚴重,甚至有些患者手腳都已經發黑了而不自知,子女發現後才緊急到醫院進行治療,也導致許多罹患周邊動脈阻塞的老年族群截肢率非常高。好在隨著血管支架的問世,才讓這類的病患有機會能免於截肢、餘生都要乘坐輪椅的下場。
隨科技進步逐漸改良 支架放置手術目前成為主流
花蓮慈濟醫院心臟內科朱新凱醫師分享,血管支架的不斷進步與改良,始於血管攝影技術的突破,這項技術讓醫生得以準確定位血管阻塞的位置。為了治療血管阻塞,科學家隨後發展出氣球擴張術,透過氣球撐開阻塞區域,使血液得以順利流通。然而,單純使用氣球撐開的方式卻面臨一個挑戰,因為這樣的血管容易再度塌陷。為了解決這個問題,醫學界在80年代進一步研發了血管支架,用以支撐已經塌陷的血管,有效避免了氣球擴張術容易遭遇的塌陷狀況。然而,這帶來了新的問題,放置金屬支架後不久,一些患者出現了再度阻塞的情況。經過深入研究後,醫學界發現這些患者的血管出現了一種類似蟹足腫的排斥反應(血管內膜異常增生),導致血管再次狹窄阻塞,甚至比原本的情況更加嚴重。直到20年前,醫學界終於研發出了塗藥金屬支架用於心臟血管,這種支架利用特殊藥物(紫杉醇)塗抹於金屬表面上的聚合物膜,不受血液沖刷影響,有效阻止血管內膜異常增生、發生類似蟹足腫的狀況,終於改善了支架再堵塞的問題,而這項科技在最近幾年也開始大量用在下肢血管,且取得很好的成果。

再阻塞比率最低 塗藥支架成嚴重周邊動脈阻塞首選
朱醫師表示,使用傳統血管繞道手術治療周邊動脈阻塞,手術一年後的再阻塞(再狹窄)率約有50%;使用健保給付的塗藥氣球或裸金屬支架,則約為25%-30%;而若是選擇使用最新的塗藥支架,數據顯示則只有13%的再阻塞率,相比前面兩項治療方式低上不少。朱醫師說明,沒有病患在放置支架後,會想要再進行第二次手術處理血管阻塞,若是病患經濟許可,目前治療嚴重周邊動脈阻塞的首選是使用塗藥支架。最新的報告也指出,過去醫師們曾擔心塗藥支架的血栓問題,在經過大規模長期的臨床試驗後,也已經證實塗藥支架與裸金屬支並無死亡率上的差異,患者若依照醫師指示,配合正確的術後藥物及生活習慣調整,塗藥支架能為病患帶來較低的再阻塞風險。
周邊動脈阻塞臨床狀況多變 需仰賴專業醫師擬定治療策略
雖然塗藥支架是治療周邊動脈阻塞的首選,但臨床的狀況可能不會那麼單純,朱醫師補充說道,與心血管阻塞不同,周邊動脈阻塞的血管阻塞長度、複雜度往往都比心臟複雜許多。有的病患血管阻塞了二三十公分(心臟約為2-3公分),有的病患一條血管分成好幾段阻塞,有的甚至是一條腿阻塞了好幾條血管。這時就需要仰賴專業醫師來規劃治療的策略,有些病患只需要使用塗藥氣球就有很好的治療效果,但有些嚴重的病患會需要塗藥支架去支撐血管,有些病患更是前段用塗藥支架、後段用塗藥氣球的複合方式,去治療長度較長的阻塞。
朱醫師最後也提醒,周邊動脈阻塞放置支架已經是最後一步,要從根本解決血管阻塞的問題,還是必須要配合改善糖尿病、高血壓、高血脂等三高問題,維持良好生活習慣、多運動並保持健康飲食做起。
資料來源:健康醫療網 https://www.healthnews.com.tw/readnews.php?id=60179
喜歡本文請按讚並分享給好友!更多健康資訊:健康醫療網https://www.healthnews.com.tw