一名63歲的台中單身男子,因長期聲音沙啞、喉嚨卡卡,甚至呼吸困難,最終被診斷為下咽癌第四期。醫師提醒,若聲音沙啞持續兩週以上,可能是癌症的警訊,應儘速就醫檢查。

【健康警訊】沙啞不止?可能是癌症警訊!63歲男子因忽視症狀,罹患下咽癌四期 
【健康警訊】沙啞不止?可能是癌症警訊!63歲男子因忽視症狀,罹患下咽癌四期
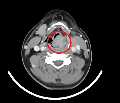
▲ 男子長期沙啞就醫檢查竟已罹患下咽癌第四期(圖/澄清醫院提供)
王姓男子在澄清醫院求診時,耳鼻喉科醫師林奐宇發現他講話聲音沙啞,且呼吸急促。經內視鏡檢查後,發現喉嚨有一顆近3公分大的腫瘤,幾乎封住呼吸道,情況危急。進一步診斷後,確認為下咽癌第四期。
林奐宇醫師指出,王男在診間主訴聲音沙啞、吞嚥困難,並出現「咻咻」的喘息聲。醫師建議他進行保護性氣切手術,以維持呼吸暢通,並做腫瘤切片檢查。然而,王男一時難以接受,選擇自行返家。三天後,因呼吸困難被送至急診室,經過氣切急救才保住一命。
目前,王男正在血液腫瘤科接受放射線治療,情況已經穩定。林奐宇醫師強調,門診中因沙啞症狀發現罹患癌症的患者不在少數。聲音沙啞可能是罹患肺癌、喉癌、下咽癌、食道癌等癌症的警示,甚至可能伴隨吞嚥困難、呼吸不順,需要特別注意。

【健康警訊】沙啞不止?可能是癌症警訊!63歲男子因忽視症狀,罹患下咽癌四期 
【健康警訊】沙啞不止?可能是癌症警訊!63歲男子因忽視症狀,罹患下咽癌四期
▲ 醫師提醒聲音沙啞可能是罹患肺癌、喉癌、下咽癌的警示(圖/澄清醫院提供)
澄清醫院癌症防治中心主任陳仁亮也呼籲,肺癌、喉癌、下咽癌、食道癌等癌症的發生,常與習慣性抽菸、喝酒、吃檳榔等不良嗜好有關。尤其是口、咽、喉部癌症,常見於40至60歲的男性。初期可能沒有明顯的症狀,有時等到有症狀已經是晚期。因此,除了不要輕忽沙啞等警訊外,定期健康檢查與癌症篩檢也是非常重要的。
延伸閱讀
未滿30歲慘淪快槍俠! 他單身太久實戰竟「秒射」 泌尿科醫曝關鍵2大原因
才「剛過30」身體毛病就一堆? 營養師勸年輕人:這樣吃對抗「6大初老症狀」
我是廣告 請繼續往下閱讀


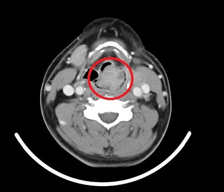
▲ 男子長期沙啞就醫檢查竟已罹患下咽癌第四期(圖/澄清醫院提供)
王姓男子在澄清醫院求診時,耳鼻喉科醫師林奐宇發現他講話聲音沙啞,且呼吸急促。經內視鏡檢查後,發現喉嚨有一顆近3公分大的腫瘤,幾乎封住呼吸道,情況危急。進一步診斷後,確認為下咽癌第四期。
林奐宇醫師指出,王男在診間主訴聲音沙啞、吞嚥困難,並出現「咻咻」的喘息聲。醫師建議他進行保護性氣切手術,以維持呼吸暢通,並做腫瘤切片檢查。然而,王男一時難以接受,選擇自行返家。三天後,因呼吸困難被送至急診室,經過氣切急救才保住一命。
目前,王男正在血液腫瘤科接受放射線治療,情況已經穩定。林奐宇醫師強調,門診中因沙啞症狀發現罹患癌症的患者不在少數。聲音沙啞可能是罹患肺癌、喉癌、下咽癌、食道癌等癌症的警示,甚至可能伴隨吞嚥困難、呼吸不順,需要特別注意。


▲ 醫師提醒聲音沙啞可能是罹患肺癌、喉癌、下咽癌的警示(圖/澄清醫院提供)
澄清醫院癌症防治中心主任陳仁亮也呼籲,肺癌、喉癌、下咽癌、食道癌等癌症的發生,常與習慣性抽菸、喝酒、吃檳榔等不良嗜好有關。尤其是口、咽、喉部癌症,常見於40至60歲的男性。初期可能沒有明顯的症狀,有時等到有症狀已經是晚期。因此,除了不要輕忽沙啞等警訊外,定期健康檢查與癌症篩檢也是非常重要的。
延伸閱讀
未滿30歲慘淪快槍俠! 他單身太久實戰竟「秒射」 泌尿科醫曝關鍵2大原因
才「剛過30」身體毛病就一堆? 營養師勸年輕人:這樣吃對抗「6大初老症狀」