年近八旬的許女士長期與多種慢性病共處,日前回診時發現肝指數異常,進一步檢查發現已罹患肝癌。台北慈濟醫院醫療團隊評估整體健康狀況後,決定進行微創射頻燒灼術,成功移除腫瘤,且術後恢復良好,術後3天即順利出院。
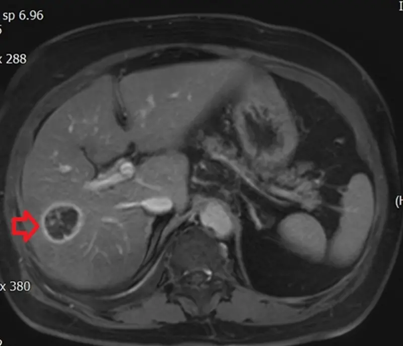
台北慈院胃腸肝膽科主治醫師陳泓達說,許女士原患有慢性肺病、心臟衰竭、糖尿病與高血壓,長期於台北慈院胸腔內科、感染科追蹤,半年前回診時,感染科發現她的肝指數異常,安排腹部超音波檢查,不僅發現有脂肪肝,還看到1顆約3公分大的肝臟腫瘤,才轉介到他的門診。
陳泓達表示,經電腦斷層、核磁共振檢查後,確診許女士罹患肝癌,隨即規劃治療方案,考量她的體力與肝功能等,決定採行射頻燒灼術,先利用超音波定位,再以電燒針穿刺腫瘤中心,透過高溫誅殺癌細胞,治療過程僅需數十分鐘,對身體影響較小,有助術後迅速恢復。
針對肝癌,陳泓達說,根據國健署統計,台灣每年約有1萬人罹患肝癌,其中約7700人病故,為癌症死亡第2高,但早期症狀卻不明顯,常等到腹痛、腹水或黃疸等晚期症狀才被發現,錯過治療時機。
陳泓達指出,目前治療肝癌除開腹手術、腹腔鏡與達文西手術外,對於腫瘤小、手術風險較高的患者,射頻燒灼術是有效且安全的替代方案;以許女士為例,經多科團隊會診並與家屬溝通後,確認這是最符合她身體條件的治療方式,結果也成功控制病情。
陳泓達提醒,40歲以上民眾應每年定期檢查肝功能,B、C型肝炎患者則應每半年追蹤,如有肝硬化,則建議每3個月密集監控,及早檢查並正確治療,才能提升存活率。
我是廣告 請繼續往下閱讀
陳泓達表示,經電腦斷層、核磁共振檢查後,確診許女士罹患肝癌,隨即規劃治療方案,考量她的體力與肝功能等,決定採行射頻燒灼術,先利用超音波定位,再以電燒針穿刺腫瘤中心,透過高溫誅殺癌細胞,治療過程僅需數十分鐘,對身體影響較小,有助術後迅速恢復。
針對肝癌,陳泓達說,根據國健署統計,台灣每年約有1萬人罹患肝癌,其中約7700人病故,為癌症死亡第2高,但早期症狀卻不明顯,常等到腹痛、腹水或黃疸等晚期症狀才被發現,錯過治療時機。
陳泓達指出,目前治療肝癌除開腹手術、腹腔鏡與達文西手術外,對於腫瘤小、手術風險較高的患者,射頻燒灼術是有效且安全的替代方案;以許女士為例,經多科團隊會診並與家屬溝通後,確認這是最符合她身體條件的治療方式,結果也成功控制病情。
陳泓達提醒,40歲以上民眾應每年定期檢查肝功能,B、C型肝炎患者則應每半年追蹤,如有肝硬化,則建議每3個月密集監控,及早檢查並正確治療,才能提升存活率。