胸腔科醫師蘇一峰發文指出,一名四十多歲男性,平時不抽菸不喝酒,也沒有任何不舒服,只是例行性身體檢查,卻發現胸腔有5公分腫瘤「癌症末期已經到處轉移」讓他忍不住在診間哽咽快落淚。
蘇一峰還提到,這名病患每天都認真工作,去年的健檢還是正常,今年說X光有一點問題,就來胸腔科檢查,沒想到照出5公分腫瘤加上轉移,變成末期癌症到處轉移。
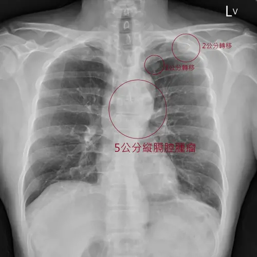
蘇一峰先在文中放上X光圖,讓網友看看腫瘤,並在留言處附上圈起的腫瘤示意圖「躲在主動脈裡面,五公分縱膈腔腫瘤」,讓網友也紛紛回應「好可怕,跟空污有絕對關係」、「好可怕的無症狀」、「癌症讓人難受的是人生突然被畫下句點」。

▲一名4旬男沒有任何不舒服,健檢去年正常、今年卻發現已癌末。(圖/翻攝自蘇一峰臉書粉專)
我是廣告 請繼續往下閱讀
蘇一峰先在文中放上X光圖,讓網友看看腫瘤,並在留言處附上圈起的腫瘤示意圖「躲在主動脈裡面,五公分縱膈腔腫瘤」,讓網友也紛紛回應「好可怕,跟空污有絕對關係」、「好可怕的無症狀」、「癌症讓人難受的是人生突然被畫下句點」。
