57歲的周先生心日前突然喘不過氣,硬撐多天才就醫,結果發現心臟功能只剩2成,且有肺積水與巨大血栓,經歷3度手術後,經心臟移植手術方獲新生;醫師說,心臟衰竭是常見卻危險的疾病,患者會出現喘、胸悶、下肢水腫與疲倦等症狀,若未及時治療,恐引發肺積水、血栓甚至中風,民眾不可輕忽。
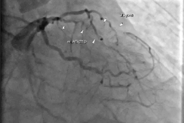
台北慈濟醫院心臟外科主治醫師楊凱文說,患者10多年前曾接受冠狀動脈支架手術,卻自行停用抗血小板藥物多年,導致血管逐漸阻塞,最終引發重度心臟衰竭,就醫後進行心導管檢查,發現3條冠狀動脈嚴重阻塞,左心室更出現5公分血栓,醫療團隊隨即展開冠狀動脈繞道手術及血栓清除術,並利用人工補片重建心室壁,術中同步放置暫時性左心室輔助器,以維持血流輸出。
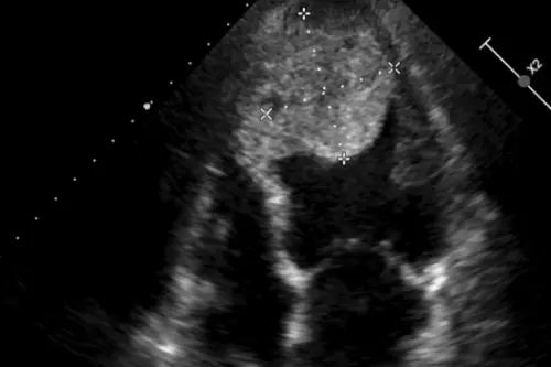
▲超音波檢查發現心臟有5公分大血栓。(圖/台北慈院提供) 隨後在第2次手術中,醫療團隊為病人換上長效型輔助器,不料右心室功能惡化,再緊急加裝右心室輔助器,並延後關閉胸腔以處理出血風險;到第3次手術時,則移除右心室輔助器並閉胸,患者這才逐步穩定,並等到合適的心臟捐贈者,完成心臟移植後已康復返家。
楊凱文指出,心臟衰竭是心臟無法輸出足夠血液的狀態,常見症狀包括喘、胸悶、下肢水腫與疲倦,成因則有冠狀動脈疾病、高血壓未控制、瓣膜異常或心肌病變,若未積極治療,可能導致心室擴大、肺積水或形成血栓,嚴重恐造成中風、器官栓塞。
對於周先生病因,楊凱文認為,長期停藥是關鍵風險,導致血管再度堵塞,引發缺血與壞死,進而惡化為心臟衰竭。
楊凱文提醒,曾接受心臟支架手術的病人,要遵照醫囑、長期服用抗血小板藥物,一旦出現胸悶、喘、心跳異常或下肢水腫等警訊,應立即就醫;如不得不進行心臟移植,現代醫療透過心室輔助器與團隊整合照護,仍能爭取到重生契機。
我是廣告 請繼續往下閱讀
楊凱文指出,心臟衰竭是心臟無法輸出足夠血液的狀態,常見症狀包括喘、胸悶、下肢水腫與疲倦,成因則有冠狀動脈疾病、高血壓未控制、瓣膜異常或心肌病變,若未積極治療,可能導致心室擴大、肺積水或形成血栓,嚴重恐造成中風、器官栓塞。
對於周先生病因,楊凱文認為,長期停藥是關鍵風險,導致血管再度堵塞,引發缺血與壞死,進而惡化為心臟衰竭。
楊凱文提醒,曾接受心臟支架手術的病人,要遵照醫囑、長期服用抗血小板藥物,一旦出現胸悶、喘、心跳異常或下肢水腫等警訊,應立即就醫;如不得不進行心臟移植,現代醫療透過心室輔助器與團隊整合照護,仍能爭取到重生契機。