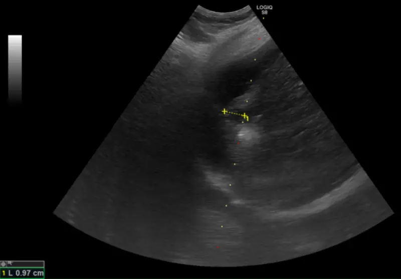
83歲黃姓婦人日前身體不適,就醫後發現肝功能異常,進一步檢查確認她是B型肝炎帶原者,且已有第零期肝癌, 腫瘤約1.5公分;由於發現及時,醫療團隊僅進行電燒治療,3天後出院,目前恢復良好、持續追蹤中。
收治病例的台北慈濟醫院胃腸肝膽科主治醫師鄭煜明說,台灣肝癌高危險族群主要與B、C型肝炎有關,B肝約佔5成、C肝約4成,其餘則與脂肪肝、酒精肝有關;透過疫苗與抗病毒藥物推廣,台灣整體發生率下降,但若曾感染B、C肝,則仍有罹癌風險。
鄭煜明強調,肝癌初期幾乎無症狀,惟病程進展後可能出現黃疸、腹水、體重下降等情形,發現時往往已屬中晚期,此個案能在第零期確診相對少見。
針對零期肝癌,鄭煜明表示,治療後平均存活率可超過10年,若延至第2期僅約5年,第3期降至2年半,第4期更僅半年;他也說,零期使用電燒治療普遍可根治,不需化療,且目前電燒治療透過超音波導引,透過電極產生熱能氣化腫瘤,得以較以往保留更多健康肝臟組織。
鄭煜明解釋,肝癌患者5年內復發率高達7成,而個案若需多次處理,電燒治療會特別適合,且住院時間也短,通常3日即可返家。
對於電燒治療,鄭煜明說明,目前適應症包括腫瘤單顆或3顆以下、每顆不超過3公分,但腫瘤若靠近心臟或肺臟等重要器官,或患者有凝血異常,則不宜施行。
鄭煜明提醒,民眾若滿45歲,一生至少篩檢一次B、C肝,若帶原,更應定期追蹤,及早以藥物控制;此外,日常應避免飲酒過量、維持健康體重並規律運動,避免食用久放食物或不明中草藥,且應以均衡飲食取代進補觀念,同時接種B肝疫苗,以減少肝癌威脅。
我是廣告 請繼續往下閱讀
鄭煜明強調,肝癌初期幾乎無症狀,惟病程進展後可能出現黃疸、腹水、體重下降等情形,發現時往往已屬中晚期,此個案能在第零期確診相對少見。
針對零期肝癌,鄭煜明表示,治療後平均存活率可超過10年,若延至第2期僅約5年,第3期降至2年半,第4期更僅半年;他也說,零期使用電燒治療普遍可根治,不需化療,且目前電燒治療透過超音波導引,透過電極產生熱能氣化腫瘤,得以較以往保留更多健康肝臟組織。
鄭煜明解釋,肝癌患者5年內復發率高達7成,而個案若需多次處理,電燒治療會特別適合,且住院時間也短,通常3日即可返家。
對於電燒治療,鄭煜明說明,目前適應症包括腫瘤單顆或3顆以下、每顆不超過3公分,但腫瘤若靠近心臟或肺臟等重要器官,或患者有凝血異常,則不宜施行。
鄭煜明提醒,民眾若滿45歲,一生至少篩檢一次B、C肝,若帶原,更應定期追蹤,及早以藥物控制;此外,日常應避免飲酒過量、維持健康體重並規律運動,避免食用久放食物或不明中草藥,且應以均衡飲食取代進補觀念,同時接種B肝疫苗,以減少肝癌威脅。