【健康醫療網/記者曾正豪報導】35歲M先生,過去無特殊疾病史,身體沒有任何症狀,直到近來接受公司員工健康檢查,卻發現有血尿情況。經建議至新竹臺大分院生醫醫院竹東院區腎臟科門診做進一步檢查,醫師安排腎臟超音波檢查發現兩側腎臟有許多大小不一的水泡,診斷為多囊腎。醫師因此建議家屬也要檢查,並需要定期門診追蹤。
多囊腎多為遺傳 惡化恐洗腎或腎臟移植
新竹臺大分院腎臟內科張勤斌醫師說明,多囊腎常見的原因是遺傳性腎臟病,稱為自體顯性多囊性腎臟病,是基因缺陷引起的多囊腎。多囊腎病人可能出生時腎臟就有囊腫;普遍在30-40歲後,因有症狀後才診斷。目前因健康檢查的觀念普遍,也可能因尿液檢查異常或超音波檢查而發現。病人腎臟功能會因年齡增長會漸漸變差,可能惡化為末期腎病變,需要長期接受透析治療或接受腎臟移植。
張勤斌醫師指出,為了防止腎功能惡化,改善生活方式是第一步,平時須注意血壓是否偏高,如果偏高則建議服用降壓藥物來控制血壓,保持適當的血壓對於延緩腎臟功能惡化是很重要的。日常生活適當控制水量攝取與飲食調整,減少鹽分攝取與適當運動對於延緩腎臟功能惡化也有助益。近年來也有新的藥物可以抑制進展。
調整飲食、飲水,搭配藥物延緩惡化
一般腎臟功能正常時建議每天至少飲水2公升並視身體狀況調整。但如果腎功能不良或合併其他疾病,要諮詢醫師,以確定適合自己的飲水量。關於飲食控制,則需根據醫師、營養師的指導,限制鹽分和適當的卡路里攝入量,維持適當血壓和體重。另外,根據腎臟功能的狀態,須注意蛋白質的攝入量。
藥物治療方面,目前有抑制囊腫增長速度的藥物,該藥物限用於已出現病情迅速惡化跡象之第3 期慢性腎臟病的18至50歲自體顯性多囊性腎臟病患者,且腎臟影像呈雙側瀰漫性水泡,病情須符合特定條件,如一年之內eGFR(腎絲球濾過率值)下降≧5.0mL/min/1.73 m2或五年內eGFR 每年下降≧2.5 mL/min/1.73 m2,且排除其它如脫水、藥物、感染、阻塞等原因所致。使用時須定期檢查肝功能與血中電解質濃度,因藥物會增加排尿次數需補充適當的水分。
張勤斌醫師提醒,多囊腎為一種基因變異的疾病,目前尚無治癒此疾病的治療方法,唯有透過早期診斷,了解減緩腎功能惡化的生活方式,監控血壓才能延緩進入透析的時程。

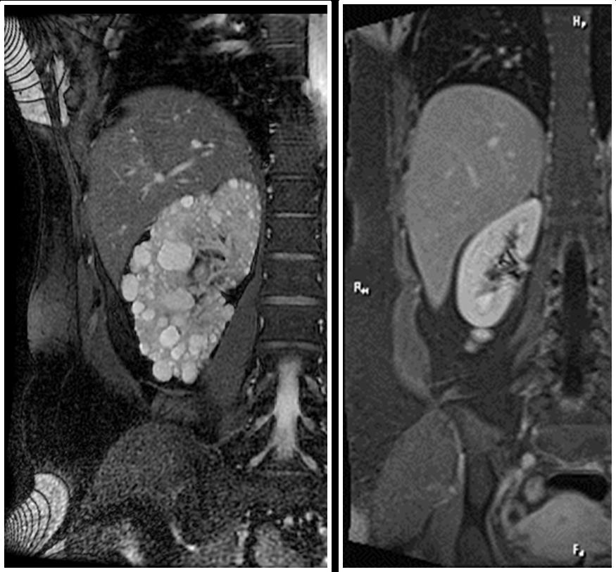
圖說:磁振造影下,左圖為多囊腎,右圖為正常腎臟。
資料來源:健康醫療網 https://www.healthnews.com.tw/readnews.php?id=54353
喜歡本文請按讚並分享給好友!更多健康資訊:健康醫療網https://www.healthnews.com.tw
我是廣告 請繼續往下閱讀
新竹臺大分院腎臟內科張勤斌醫師說明,多囊腎常見的原因是遺傳性腎臟病,稱為自體顯性多囊性腎臟病,是基因缺陷引起的多囊腎。多囊腎病人可能出生時腎臟就有囊腫;普遍在30-40歲後,因有症狀後才診斷。目前因健康檢查的觀念普遍,也可能因尿液檢查異常或超音波檢查而發現。病人腎臟功能會因年齡增長會漸漸變差,可能惡化為末期腎病變,需要長期接受透析治療或接受腎臟移植。
張勤斌醫師指出,為了防止腎功能惡化,改善生活方式是第一步,平時須注意血壓是否偏高,如果偏高則建議服用降壓藥物來控制血壓,保持適當的血壓對於延緩腎臟功能惡化是很重要的。日常生活適當控制水量攝取與飲食調整,減少鹽分攝取與適當運動對於延緩腎臟功能惡化也有助益。近年來也有新的藥物可以抑制進展。
調整飲食、飲水,搭配藥物延緩惡化
一般腎臟功能正常時建議每天至少飲水2公升並視身體狀況調整。但如果腎功能不良或合併其他疾病,要諮詢醫師,以確定適合自己的飲水量。關於飲食控制,則需根據醫師、營養師的指導,限制鹽分和適當的卡路里攝入量,維持適當血壓和體重。另外,根據腎臟功能的狀態,須注意蛋白質的攝入量。
藥物治療方面,目前有抑制囊腫增長速度的藥物,該藥物限用於已出現病情迅速惡化跡象之第3 期慢性腎臟病的18至50歲自體顯性多囊性腎臟病患者,且腎臟影像呈雙側瀰漫性水泡,病情須符合特定條件,如一年之內eGFR(腎絲球濾過率值)下降≧5.0mL/min/1.73 m2或五年內eGFR 每年下降≧2.5 mL/min/1.73 m2,且排除其它如脫水、藥物、感染、阻塞等原因所致。使用時須定期檢查肝功能與血中電解質濃度,因藥物會增加排尿次數需補充適當的水分。
張勤斌醫師提醒,多囊腎為一種基因變異的疾病,目前尚無治癒此疾病的治療方法,唯有透過早期診斷,了解減緩腎功能惡化的生活方式,監控血壓才能延緩進入透析的時程。

資料來源:健康醫療網 https://www.healthnews.com.tw/readnews.php?id=54353
喜歡本文請按讚並分享給好友!更多健康資訊:健康醫療網https://www.healthnews.com.tw