84歲李爺爺半個月前右眼腫脹,起初不以為意,後來開始有明顯疼痛並影響視野,才被送往急診,檢查發現並非一般的眼疾,而是急性鼻竇炎併發眼皮膿瘍,經微創內視鏡手術並引流後,症狀獲得緩解;醫師指出,鼻竇炎若延誤治療,可能影響眼睛,甚至是腦部,後果不容忽視。
台北慈濟醫院耳鼻喉科主治醫師吳姳萱表示,鼻腔由額竇、篩竇、蝶竇與上頷竇構成,功能包括減輕頭骨重量、維持呼吸濕潤與過濾、聲音共鳴及保護腦部結構等,一旦發炎或阻塞,恐引起鼻竇炎,急性鼻竇炎通常在4週內,症狀包含鼻塞、臉部疼痛、分泌物增加及嗅覺下降;若超過12週,則屬慢性。
針對高危險群,吳姳萱說明,包括幼童、長者或免疫力低下者,且因鼻竇炎容易併發嚴重問題,例如眼眶蜂窩組織炎、眼膿瘍或腦膜炎等,民眾要多注意。
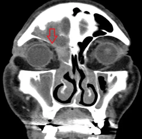
▲電腦斷層檢查顯示,李爺爺鼻竇阻塞,與眼周邊界模糊。(圖/台北慈院提供) 對於李爺爺病情,吳姳萱則說,影像檢查顯示鼻竇開口阻塞,膿液影響至眼周,導致上眼皮膿瘍,若採傳統手術,須翻開上唇、切開骨頭,出血較多且傷口大,恢復也較慢;先進手術則會使用3D導航,先確認病灶,再利用微創鼻竇內視鏡與削切刀清除發炎組織膿瘍,既能保持手術視野清晰,也可減少對正常組織的破壞,患者復原更快。
此外,吳姳萱補充,此手術採用的削切刀可快速旋轉、割除組織,並具有抽吸功能,可同時將碎屑、分泌物清掉,不僅治療更安全,也可顯著降低併發症風險,提供民眾更多治療選擇。
吳姳萱提醒,近期病毒性感冒盛行,若症狀拖延1週未改善,務必就醫檢查,民眾切莫誤認鼻竇炎只是小病,若忽略,可能帶來大問題,唯有及早介入,才可避免眼部、腦部都陷入危險。
資料來源:台北慈濟醫院
我是廣告 請繼續往下閱讀
針對高危險群,吳姳萱說明,包括幼童、長者或免疫力低下者,且因鼻竇炎容易併發嚴重問題,例如眼眶蜂窩組織炎、眼膿瘍或腦膜炎等,民眾要多注意。
此外,吳姳萱補充,此手術採用的削切刀可快速旋轉、割除組織,並具有抽吸功能,可同時將碎屑、分泌物清掉,不僅治療更安全,也可顯著降低併發症風險,提供民眾更多治療選擇。
吳姳萱提醒,近期病毒性感冒盛行,若症狀拖延1週未改善,務必就醫檢查,民眾切莫誤認鼻竇炎只是小病,若忽略,可能帶來大問題,唯有及早介入,才可避免眼部、腦部都陷入危險。
資料來源:台北慈濟醫院