肺部影像若出現大片白影,常被懷疑是肺炎,40歲魏先生卻確診為罕見的「肺部蛋白質沉積症」,靠「全肺灌洗術」才恢復順暢呼吸;醫師表示,這種疾病會導致蛋白質堵塞肺泡,造成缺氧、胸悶,病人常誤以為是勞累引起,直到症狀惡化就醫才發現,民眾要多注意。
台北慈濟醫院胸腔內科主任藍冑進表示,魏先生從事搬運工作多年,體能良好,近2年卻常出現喘不過氣、背痛症狀,甚至在搬重物時差點窒息,經檢查,發現他的肺部有大片白影,起初懷疑為慢性發炎,但細菌、黴菌檢查均為陰性,3個月後白影惡化,故進行肺部穿刺切片,這才確診為蛋白質沉積症,所幸經全肺灌洗術治療後,在術後第3天即康復出院。
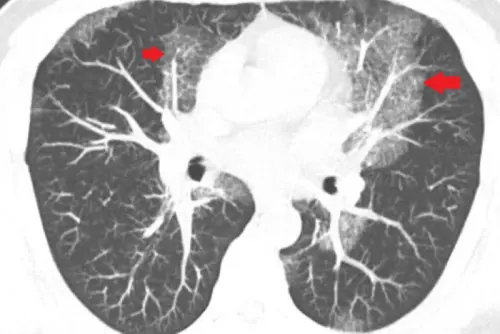
▲▼魏先生胸部影像檢查有大片白影,診斷結果卻非肺炎,而是「蛋白質沉積症」。(圖/台北慈院提供)
藍冑進指出,蛋白質沉積症的發生率僅百萬分之一,病因可能與自體免疫異常有關;一般狀況下,肺泡會分泌蛋白質以助維持張開與氣體交換,但若異常累積、無法清除,將堵塞肺泡,引起缺氧及呼吸困難,嚴重甚至危及生命。由於初期症狀不明顯,常與肺炎、肺纖維化混淆,增加延誤診斷風險。
針對治療蛋白質沉積症,藍冑進說,以全肺灌洗術最具成效,手術在全身麻醉下進行,利用雙腔氣管內管分隔肺臟,維持呼吸同時清洗另一側;通常先處理左肺,再視恢復情形於數週後進行右肺。過程需反覆注入並抽出約10公升溫熱生理食鹽水,以徹底清除沉積物。
藍冑進說明,全肺灌洗術過程聽來複雜,但實際風險低,常見併發症如氣胸或肋膜積水,發生率不到1%,多可妥善處理。
此外,藍冑進強調,灌洗術需要胸腔內外科、麻醉科、呼吸治療與放射團隊合作,才能兼顧安全與效果,但患者後續仍可能復發,故需持續追蹤。
藍冑進提醒,若出現原因不明的呼吸困難、胸悶或活動耐受力下降,不要輕忽。及早就醫檢查,能把握治療時機,降低疾病對生活的影響。
我是廣告 請繼續往下閱讀
針對治療蛋白質沉積症,藍冑進說,以全肺灌洗術最具成效,手術在全身麻醉下進行,利用雙腔氣管內管分隔肺臟,維持呼吸同時清洗另一側;通常先處理左肺,再視恢復情形於數週後進行右肺。過程需反覆注入並抽出約10公升溫熱生理食鹽水,以徹底清除沉積物。
藍冑進說明,全肺灌洗術過程聽來複雜,但實際風險低,常見併發症如氣胸或肋膜積水,發生率不到1%,多可妥善處理。
此外,藍冑進強調,灌洗術需要胸腔內外科、麻醉科、呼吸治療與放射團隊合作,才能兼顧安全與效果,但患者後續仍可能復發,故需持續追蹤。
藍冑進提醒,若出現原因不明的呼吸困難、胸悶或活動耐受力下降,不要輕忽。及早就醫檢查,能把握治療時機,降低疾病對生活的影響。