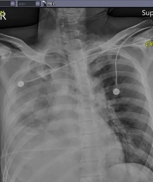
苗栗市2日發生隨機砍人案,48歲邱姓男子持刀攻擊路人,造成2名女童及1名林姓男子多處穿刺傷,隨即分別送至衛福部苗栗醫院、大千綜合醫院救治,所幸目前狀況穩定。對此,苗栗大千醫院外科部長馮啟彥指出,林男緊急被救護車送至急診室後,不僅觀察到其肺臟破裂引發氣血胸,更因為利刃穿刺很深,橫膈膜及肝臟都有破裂及大量出血現象。他也不解直呼,「是有怎樣的深仇大恨?」
大千醫院外科部長馮啟彥就在臉書發文透露,當時去急診看林男時,「真的是傻眼,是怎樣的深仇大恨?」更在文中表示,不只林男,還有兩名遭到刺傷的女童,其中一名11歲女童受有左胸穿刺傷,造成血胸;另名11歲女童則是受有前胸表淺傷、右手肘撕裂傷。醫師氣憤點出,持刀傷人的邱嫌10年前今年3月剛出獄,又疑似因為吸毒造成精神狀況不穩定而傷人,讓醫師大嘆「這一類的累犯,為何不能判更重,甚至終身監禁,與社會隔絕,不要再出來害人了?」
而在手術過程中,馮啟彥表示,不僅發現肺臟破裂引發氣血胸,而且因為利刃穿刺很深,橫膈膜及肝臟都有破裂及大量出血現象。所幸經過手術之後,病情已經比較穩定,3日上午林男雖然仍插著呼吸器,但已經能夠清醒的與大家致意。
曾依殺人未遂罪、傷害罪入監9年才剛出獄的邱男,於10月2日下午戴著安全帽、手上綁著刀具,先後刺傷了2名11歲女童、1名50多歲林姓男子。其中1名女童胸前留下長度約0.5至1公分的割傷,右手肘也有約3公分的切割傷;另1名女童左胸有3至4公分的刺入傷,有明顯血胸、氣胸狀況,插管後轉送中國醫藥大學附設醫院治療;而林男右上腹及背部受穿刺傷、失血過多,在大千醫院加護病房密切觀察治療。
我是廣告 請繼續往下閱讀
大千醫院外科部長馮啟彥就在臉書發文透露,當時去急診看林男時,「真的是傻眼,是怎樣的深仇大恨?」更在文中表示,不只林男,還有兩名遭到刺傷的女童,其中一名11歲女童受有左胸穿刺傷,造成血胸;另名11歲女童則是受有前胸表淺傷、右手肘撕裂傷。醫師氣憤點出,持刀傷人的邱嫌10年前今年3月剛出獄,又疑似因為吸毒造成精神狀況不穩定而傷人,讓醫師大嘆「這一類的累犯,為何不能判更重,甚至終身監禁,與社會隔絕,不要再出來害人了?」
而在手術過程中,馮啟彥表示,不僅發現肺臟破裂引發氣血胸,而且因為利刃穿刺很深,橫膈膜及肝臟都有破裂及大量出血現象。所幸經過手術之後,病情已經比較穩定,3日上午林男雖然仍插著呼吸器,但已經能夠清醒的與大家致意。
曾依殺人未遂罪、傷害罪入監9年才剛出獄的邱男,於10月2日下午戴著安全帽、手上綁著刀具,先後刺傷了2名11歲女童、1名50多歲林姓男子。其中1名女童胸前留下長度約0.5至1公分的割傷,右手肘也有約3公分的切割傷;另1名女童左胸有3至4公分的刺入傷,有明顯血胸、氣胸狀況,插管後轉送中國醫藥大學附設醫院治療;而林男右上腹及背部受穿刺傷、失血過多,在大千醫院加護病房密切觀察治療。