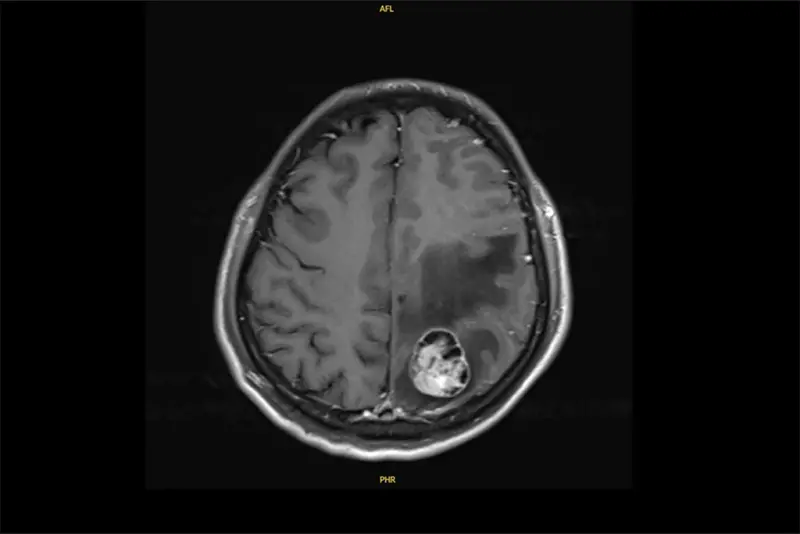
41歲許先生某日清晨突感右側無力,不但倒地,還不停抽搐,送至急診後,發現腦部有3公分腫瘤,右下肺也有4公分腫塊,確診為肺腺癌合併腦轉移,所幸經跨科團隊精準治療後,腫瘤縮小,神經功能恢復,至今已3年,並重返職場;醫師說,肺腺癌初期幾乎無症狀,透過低劑量電腦斷層檢查才能盡早發現。
彰化基督教醫院胸腔內科主任林聖皓表示,肺腺癌是最沉默卻最具挑戰性的癌症之一,即使非吸菸者也可能罹患,其癌細胞多潛藏於肺周邊組織,初期沒有咳嗽或胸悶等典型症狀,等到發現常已侵犯或轉移,而近年透過基因分型可找出突變點並對應標靶藥物,是治療重要突破。
針對許先生病情,林聖皓指出,初步基因檢測未發現可用突變相關藥物,後續參與國衛院臨床試驗,發現具EGFR exon 19 deletion,得以使用第三代EGFR標靶藥物,治療後影像顯示腫瘤由4公分縮小至2.8公分,控制良好。
許先生後來出現神經症狀,經胸腔內科、神經外科合作完成腦瘤手術,待術後神經功能恢復,再由胸腔外科進行肺葉切除,達成更徹底控制。
林聖皓指出,一般肺癌合併腦轉移手術的風險較高,但彰基具備影像導引與重症照護體系,得以確保治療安全。
在治療過程中,團隊也透過病友中心協助申請「育田基金」補助,並安排康復病友分享經驗,提供心理支持,成功協助許先生轉任計程車司機,生活更趨穩定。
林聖皓提醒,肺癌是台灣癌症死亡首位,唯有低劑量電腦斷層(LDCT)能早期發現;據統計,彰基在2024年篩檢825人次,發現21例癌症,今年截至9月篩檢1185人也發現10例,呼籲有吸菸史、家族史或長期接觸油煙者,務必定期檢查,不要等到有症狀才就醫。
我是廣告 請繼續往下閱讀
針對許先生病情,林聖皓指出,初步基因檢測未發現可用突變相關藥物,後續參與國衛院臨床試驗,發現具EGFR exon 19 deletion,得以使用第三代EGFR標靶藥物,治療後影像顯示腫瘤由4公分縮小至2.8公分,控制良好。
許先生後來出現神經症狀,經胸腔內科、神經外科合作完成腦瘤手術,待術後神經功能恢復,再由胸腔外科進行肺葉切除,達成更徹底控制。
林聖皓指出,一般肺癌合併腦轉移手術的風險較高,但彰基具備影像導引與重症照護體系,得以確保治療安全。
在治療過程中,團隊也透過病友中心協助申請「育田基金」補助,並安排康復病友分享經驗,提供心理支持,成功協助許先生轉任計程車司機,生活更趨穩定。
林聖皓提醒,肺癌是台灣癌症死亡首位,唯有低劑量電腦斷層(LDCT)能早期發現;據統計,彰基在2024年篩檢825人次,發現21例癌症,今年截至9月篩檢1185人也發現10例,呼籲有吸菸史、家族史或長期接觸油煙者,務必定期檢查,不要等到有症狀才就醫。