啥咪!蛀牙也會「冬眠」?台北醫學大學口腔醫學院臨床助理教授、牙醫師黃耀慧今(14)天提醒,門診觀察發現,每逢季節開始轉換,由冷變熱,因為蛀牙、牙痛的求診人數也開始爆增,進一步分析發現,原來不少人的口腔健康問題老早就存在,卻因為冬天怕冷,改用溫水刷牙,不易察覺酸麻腫脹等症狀。
黃耀慧說,這種類似「冬眠」的現象,說穿了就是因為天氣改變、生活習慣改變才察覺老毛病,因為冬天習慣飲用熱水或用溫水刷牙,蛀牙問題不容易被發現,直到天熱後吃冰、喝冷飲機率大增,大口一灌才驚覺酸痛不已。
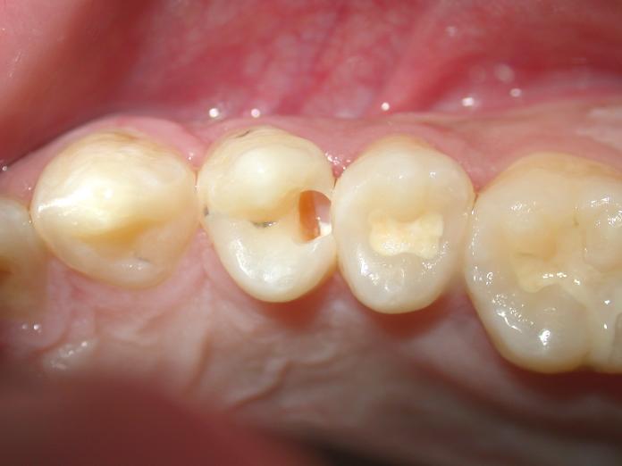
黃耀慧門診就有患者因此突然急著找上門,檢查發現早已有潛藏的「下陷型齲齒」,所幸及時發現與治療,否則恐怕有牙齒崩裂的危險。
尤其,季節一旦進入夏天,氣溫飆高,黃耀慧警告,民眾喝含糖飲料的頻率可能隨著溫度升高而增加,口腔在5分鐘內恐怕立刻變成酸性環境、開始脫鈣,蛀牙機率大幅提升,又以年輕人威脅最大。
黃耀慧強調,進食次數高等於口腔都是處在酸性環境中,若牙齒又卡了食物殘渣,長時間呈現酸性狀態,容易讓蛀牙菌有機會侵蝕牙齒珐瑯質,大幅提高蛀牙率與口腔問題,飲食後10分鐘是潔牙的黃金時間。
理想狀態,每次吃完、喝完東西後都該刷牙,若實行有困難,黃耀慧建議,最簡單的方法就是喝白開水稀釋,或嚼無糖口香糖,降低口腔酸性,另每半年進行一次口腔檢查,早晚使用含氟牙膏刷牙、每天使用牙線(棒)才能遠離惱人的牙痛。
我是廣告 請繼續往下閱讀
黃耀慧門診就有患者因此突然急著找上門,檢查發現早已有潛藏的「下陷型齲齒」,所幸及時發現與治療,否則恐怕有牙齒崩裂的危險。
尤其,季節一旦進入夏天,氣溫飆高,黃耀慧警告,民眾喝含糖飲料的頻率可能隨著溫度升高而增加,口腔在5分鐘內恐怕立刻變成酸性環境、開始脫鈣,蛀牙機率大幅提升,又以年輕人威脅最大。
黃耀慧強調,進食次數高等於口腔都是處在酸性環境中,若牙齒又卡了食物殘渣,長時間呈現酸性狀態,容易讓蛀牙菌有機會侵蝕牙齒珐瑯質,大幅提高蛀牙率與口腔問題,飲食後10分鐘是潔牙的黃金時間。
理想狀態,每次吃完、喝完東西後都該刷牙,若實行有困難,黃耀慧建議,最簡單的方法就是喝白開水稀釋,或嚼無糖口香糖,降低口腔酸性,另每半年進行一次口腔檢查,早晚使用含氟牙膏刷牙、每天使用牙線(棒)才能遠離惱人的牙痛。