【健康醫療網/記者林渝樺報導】隨著醫學進步發展,除了根除性治療外,使用影像導引低侵襲性的微創介入治療(Interventional Radiology,IR)部分取代傳統外科手術是目前醫學的主流,不僅能減少開刀、降低麻醉等風險,更提升整體的手術安全性及成功率。台灣介入放射線學會理事長、高雄榮民總醫院放射線部主任梁慧隆醫師表示,現在有許多疾病可用微創介入治療達到外科的效果,期許與各臨床科發展好的合作關係,提供病人全面性的醫療照護。
放射線介入性治療 影像導引的微創介入性治療
IR放射線介入性治療都在做什麼?梁慧隆理事長表示,介入放射科醫師工作的內容包羅萬象,可處理項目從腫瘤的化學栓塞、高週波、微波、冷凍消融治療,至影像導引的組織切片、引流、置放支架,甚至是周邊阻塞疾病的血管介入性治療等,都是IR醫師日常執行的項目。
執行手術具先天優勢 跨科部合作發展合作模式
梁慧隆理事長說,介入性治療非放射科所獨有,像是心臟科、血管外科、腸胃科、泌尿科等各臨床科皆有介入性治療,放射科醫師因為孰悉各種的影像儀器及切面的解剖位置,並熟稔各種導線的技術操作,因此在執行影像導引微創手術時頗具優勢。而一般的血管攝影僅能用螢光透視導引、腸胃科只有超音波導引方法,放射科醫師更可用電腦斷層導引,使用工具更精準多樣,可提升手術成功率、安全性和有效性,甚至搭配各種影像導引的技術來治療各種原發性或轉移性腫瘤。
由於IR醫師沒有在病房直接照顧病人,因此一般民眾常誤認為放射科醫師只是在照相而已,其實不然。有鑑於AI科技可以讓放射科醫師在閱片上更有效率,也使放射科醫師有更多時間專注於IR介入性手術的治療中,然而多數的病人都是經由其它科別轉介而來,如何跨科部發展良好的合作關係是IR發展的重要關鍵。
肝動脈化藥滴注療法 有效延長病人存活期
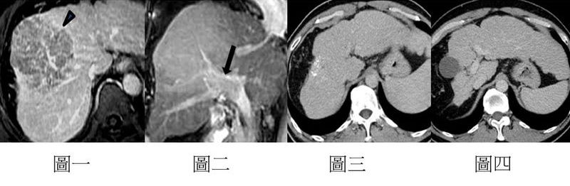
梁慧隆理事長以肝癌非手術性治療為例,肝癌治療除了執行傳統的經皮肝動脈化藥栓塞(cTAE)、載藥微球化藥栓塞(de-TAE)和釔-90體內放射栓塞治療之外,高榮已發展肝動脈化藥滴注療法(HAIC)超過20年,並以獨創的治療處方,即低劑量化療和併碘油部分栓塞來治療晚期肝癌,不僅提高3倍腫瘤反應率,延長病人的存活期。梁慧隆理事長分享診間一名40多歲的肝癌腫瘤患者,腫瘤多達10公分,原僅剩6個月的存活期,經與其它科別醫師合作照護後,腫瘤至今14年都沒有復發。

▲案例分享:40歲男性病人,原本預估只剩6個月的存活期,但是經過高榮新的HAIC治療配方(6次療程)後完全緩解(complete remission),至今存活超過14年
圖一、二:MRI可看到腫瘤(箭頭)且已侵犯到門靜脈(箭號)
圖三、四:14年的CT追蹤影像,可見腫瘤完全緩解
IR醫師治療技術多樣 期望提供病人新選擇
梁慧隆理事長期望透過跨科別的合作提供患者全面的診療方案,目前高雄榮總結合胃腸科和一般外科成立肝癌照護團隊,還有和急診部、胃腸科和一般外科成立消化道血管疾病照護團隊,以及和急診部、血管外科、整形外科和相關內科成立周邊動脈阻塞疾病傷口照護團隊,可提供不同疾病的個人全面性的醫療照護。
此外,梁慧隆理事長補充,攝護腺肥大並非只有吃藥、開刀、雷射或者是關節疼痛只有施打玻尿酸、增生療法(PRP)的選擇,現在國外較熱門的攝護腺肥大栓塞(PAE)及關節疼痛栓塞治療可以提供病人多一個治療選項,但仍需要與臨床科醫師進一步溝通,希望盡快在國內變成例行的術式。
台灣介入放射線學會致力於培育更多IR人才,並與國外持續交流。梁慧隆理事長說,現在有很多疾病能以低侵襲性方式達到外科的效果,免於開刀之苦,降低麻醉風險。提醒民眾有血管栓塞問題,並非只有截肢、開刀的選項,如有遇到類似困難者,也可前來諮詢介入放射科醫師的意見。
資料來源:健康醫療網 低侵襲性的微創治療主流 放射線介入性治療技術多樣
健康醫療網https://www.healthnews.com.tw/更多健康資訊
我是廣告 請繼續往下閱讀
放射線介入性治療 影像導引的微創介入性治療
IR放射線介入性治療都在做什麼?梁慧隆理事長表示,介入放射科醫師工作的內容包羅萬象,可處理項目從腫瘤的化學栓塞、高週波、微波、冷凍消融治療,至影像導引的組織切片、引流、置放支架,甚至是周邊阻塞疾病的血管介入性治療等,都是IR醫師日常執行的項目。執行手術具先天優勢 跨科部合作發展合作模式
梁慧隆理事長說,介入性治療非放射科所獨有,像是心臟科、血管外科、腸胃科、泌尿科等各臨床科皆有介入性治療,放射科醫師因為孰悉各種的影像儀器及切面的解剖位置,並熟稔各種導線的技術操作,因此在執行影像導引微創手術時頗具優勢。而一般的血管攝影僅能用螢光透視導引、腸胃科只有超音波導引方法,放射科醫師更可用電腦斷層導引,使用工具更精準多樣,可提升手術成功率、安全性和有效性,甚至搭配各種影像導引的技術來治療各種原發性或轉移性腫瘤。由於IR醫師沒有在病房直接照顧病人,因此一般民眾常誤認為放射科醫師只是在照相而已,其實不然。有鑑於AI科技可以讓放射科醫師在閱片上更有效率,也使放射科醫師有更多時間專注於IR介入性手術的治療中,然而多數的病人都是經由其它科別轉介而來,如何跨科部發展良好的合作關係是IR發展的重要關鍵。
肝動脈化藥滴注療法 有效延長病人存活期
梁慧隆理事長以肝癌非手術性治療為例,肝癌治療除了執行傳統的經皮肝動脈化藥栓塞(cTAE)、載藥微球化藥栓塞(de-TAE)和釔-90體內放射栓塞治療之外,高榮已發展肝動脈化藥滴注療法(HAIC)超過20年,並以獨創的治療處方,即低劑量化療和併碘油部分栓塞來治療晚期肝癌,不僅提高3倍腫瘤反應率,延長病人的存活期。梁慧隆理事長分享診間一名40多歲的肝癌腫瘤患者,腫瘤多達10公分,原僅剩6個月的存活期,經與其它科別醫師合作照護後,腫瘤至今14年都沒有復發。圖一、二:MRI可看到腫瘤(箭頭)且已侵犯到門靜脈(箭號)
圖三、四:14年的CT追蹤影像,可見腫瘤完全緩解
IR醫師治療技術多樣 期望提供病人新選擇
梁慧隆理事長期望透過跨科別的合作提供患者全面的診療方案,目前高雄榮總結合胃腸科和一般外科成立肝癌照護團隊,還有和急診部、胃腸科和一般外科成立消化道血管疾病照護團隊,以及和急診部、血管外科、整形外科和相關內科成立周邊動脈阻塞疾病傷口照護團隊,可提供不同疾病的個人全面性的醫療照護。此外,梁慧隆理事長補充,攝護腺肥大並非只有吃藥、開刀、雷射或者是關節疼痛只有施打玻尿酸、增生療法(PRP)的選擇,現在國外較熱門的攝護腺肥大栓塞(PAE)及關節疼痛栓塞治療可以提供病人多一個治療選項,但仍需要與臨床科醫師進一步溝通,希望盡快在國內變成例行的術式。
台灣介入放射線學會致力於培育更多IR人才,並與國外持續交流。梁慧隆理事長說,現在有很多疾病能以低侵襲性方式達到外科的效果,免於開刀之苦,降低麻醉風險。提醒民眾有血管栓塞問題,並非只有截肢、開刀的選項,如有遇到類似困難者,也可前來諮詢介入放射科醫師的意見。
資料來源:健康醫療網 低侵襲性的微創治療主流 放射線介入性治療技術多樣
健康醫療網https://www.healthnews.com.tw/更多健康資訊