一名63歲個案去年底開始出現不明原因的反覆高燒,多次奔波診所與各大科別求診,卻始終找不到原因,到醫院就醫時,檢查都找不到病因,最後透過心臟超音波檢查,確認個案罹患三尖瓣重度閉鎖不全,為感染性心內膜炎。
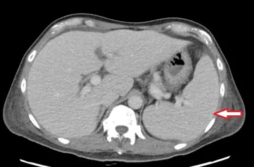
台北慈濟醫院心臟血管外科醫師楊凱文提到,個案抽血檢查顯示白血球、血小板及血紅素低下,必須輸血,但血液及骨髓等相關檢查均找不到病因,僅電腦斷層意外發現脾臟腫大與腹水。
楊凱文提到,藉由心臟超音波檢查中發現罹患三尖瓣重度閉鎖不全,瓣膜上還長了1公分大的贅生物,也就是細菌感染的病灶,確診為感染性心內膜炎。
會診心臟血管外科後,楊凱文替其更換人工生物瓣膜,術中同步清除感染病灶。手術出院後,門診經過一段時間的追蹤,病人的血球數值明顯回升,感染也治療完全,順利恢復健康。
▲醫師提醒,民眾若出現長期不明原因水腫、疲倦、反覆發燒等症狀,應積極就醫評估是否有心臟疾病的問題,排除感染可能。(圖/台北慈濟醫院提供) 長期出現3症狀 醫:盡快評估心臟病問題
楊凱文提到,三尖瓣是位於心臟右心房與右心室之間的重要瓣膜,負責讓血液從右心房單向流入右心室,防止血液倒流,功能上與左心房和左心室之間的二尖瓣類似。醫師指出,造成三尖瓣逆流的原因繁多,包括風濕性心臟病、感染性心內膜炎、二尖瓣或主動脈瓣疾病、心律不整,甚至是長期抽菸、慢性呼吸道疾病、自體免疫疾病均可能導致三尖瓣逆流。
若三尖瓣功能受損,血液逆流回右心房,楊凱文說,使右心房壓力增加,進而影響全身血液回流,就會導致器官壓力上升,當逆流非常嚴重且延遲治療,少部份病人甚至可能導致肝脾出現問題,如肝硬化、脾臟腫大等。而脾臟是造血器官,若因此腫大造成血球細胞破壞,就可能導致全身性血球減少。
三尖瓣逆流並不少見,國外統計指出,有高達70%至80%的健康人群可見輕微三尖瓣逆流;但楊凱文表示,中重度以上的三尖瓣逆流發生率則較低,約占整體人口的1%至2%。大多數患者初期多無明顯症狀,直至中重度以上才會有輕微水腫出現,因此許多人往往會忽略其嚴重性,待出現嚴重問題時多已經變成重度逆流。
楊凱文提到,三尖瓣逆流大多可以用藥物控制,若是進展為重度逆流且藥物治療效果不彰,同時合併右心室功能異常,就會需要手術。
楊凱文提醒,民眾若出現長期不明原因水腫、疲倦、反覆發燒等症狀,應積極就醫評估是否有心臟疾病的問題,排除感染可能;若有已知的心臟瓣膜問題也務必定期回診,及早診斷、介入治療,以免小病拖成大病。
我是廣告 請繼續往下閱讀
楊凱文提到,藉由心臟超音波檢查中發現罹患三尖瓣重度閉鎖不全,瓣膜上還長了1公分大的贅生物,也就是細菌感染的病灶,確診為感染性心內膜炎。
會診心臟血管外科後,楊凱文替其更換人工生物瓣膜,術中同步清除感染病灶。手術出院後,門診經過一段時間的追蹤,病人的血球數值明顯回升,感染也治療完全,順利恢復健康。
楊凱文提到,三尖瓣是位於心臟右心房與右心室之間的重要瓣膜,負責讓血液從右心房單向流入右心室,防止血液倒流,功能上與左心房和左心室之間的二尖瓣類似。醫師指出,造成三尖瓣逆流的原因繁多,包括風濕性心臟病、感染性心內膜炎、二尖瓣或主動脈瓣疾病、心律不整,甚至是長期抽菸、慢性呼吸道疾病、自體免疫疾病均可能導致三尖瓣逆流。
若三尖瓣功能受損,血液逆流回右心房,楊凱文說,使右心房壓力增加,進而影響全身血液回流,就會導致器官壓力上升,當逆流非常嚴重且延遲治療,少部份病人甚至可能導致肝脾出現問題,如肝硬化、脾臟腫大等。而脾臟是造血器官,若因此腫大造成血球細胞破壞,就可能導致全身性血球減少。
三尖瓣逆流並不少見,國外統計指出,有高達70%至80%的健康人群可見輕微三尖瓣逆流;但楊凱文表示,中重度以上的三尖瓣逆流發生率則較低,約占整體人口的1%至2%。大多數患者初期多無明顯症狀,直至中重度以上才會有輕微水腫出現,因此許多人往往會忽略其嚴重性,待出現嚴重問題時多已經變成重度逆流。
楊凱文提到,三尖瓣逆流大多可以用藥物控制,若是進展為重度逆流且藥物治療效果不彰,同時合併右心室功能異常,就會需要手術。
楊凱文提醒,民眾若出現長期不明原因水腫、疲倦、反覆發燒等症狀,應積極就醫評估是否有心臟疾病的問題,排除感染可能;若有已知的心臟瓣膜問題也務必定期回診,及早診斷、介入治療,以免小病拖成大病。