豬肉絕對不能生吃!泰國一名女子因為生吃豬肉,結果身體竟被數百隻絛蟲寄生。該名女子因為出現呼吸困難等症狀前往醫院檢查,一照X光片才發現絛蟲遍佈她的全身,讓人看了不寒而慄。
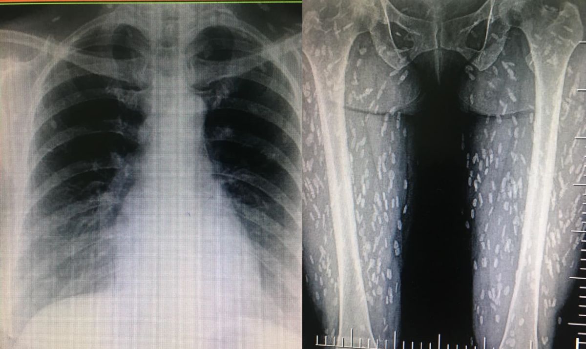
泰國Kwang Volemage網友在臉書分享一名女病患的X光照片,只見有大量一段一段的白色斑點遍布在患者的雙腿。據網友指出,這名女患者吃了生豬肉後,開始出現呼吸困難等症狀。經緊急檢查後才發現,原來身體已經被大量的豬肉絛蟲與幼體豬肉囊蟲寄生。
▲女子腿部已經被大量寄生蟲佔據。(圖/翻攝自Kwang Volemage臉書)
據了解,豬肉絛蟲是人畜共通寄生蟲,人類常是最終宿主,豬絛蟲進入人體後產卵,孵化的幼蟲會穿過腸壁進入腹腔後亂跑,常寄生在橫紋肌。不過通常只要煮熟豬肉,寄生蟲就會被高溫殺死。
目前該名女患者已經開始吃藥治療,之後還會進行手術清除寄生蟲。網友看到X光照片後也留言「怎麼會有人想生吃豬肉」、「到底生吃哪裡好啊」、「好噁心啊」。
我是廣告 請繼續往下閱讀
據了解,豬肉絛蟲是人畜共通寄生蟲,人類常是最終宿主,豬絛蟲進入人體後產卵,孵化的幼蟲會穿過腸壁進入腹腔後亂跑,常寄生在橫紋肌。不過通常只要煮熟豬肉,寄生蟲就會被高溫殺死。
目前該名女患者已經開始吃藥治療,之後還會進行手術清除寄生蟲。網友看到X光照片後也留言「怎麼會有人想生吃豬肉」、「到底生吃哪裡好啊」、「好噁心啊」。