一名23歲女子騎機車與汽車衝撞,送至平等澄清醫院急診室,女騎士只感覺胸痛、呼吸不順,沒想到實際上已撞斷肋骨並插入肺部引發血胸,胸腔持續出血危及生命。胸腔外科主任杜承哲表示,外傷最怕外表輕微、內部持續出血,團隊緊急以微創肋骨內固定手術止血修肺,成功救回患者並順利出院。
急診一聽覺得不對勁!床邊超音波揪出血胸
一名23歲年輕女性,騎機車與汽車發生劇烈衝撞,送到平等澄清醫院急診室,患者僅主訴右胸疼痛、呼吸稍微不順,竟撞出肋骨斷裂併血胸,且胸腔內積血正持續增加,嚴重壓迫肺部擴張,危及生命。
胸腔外科主任杜承哲表示,女患者傷勢外觀看似一般的胸部挫傷,意識清楚,急診專科醫師在進行創傷評估時,發現其右側呼吸音異常且觸診疼痛明顯,直覺「案情並不單純」,立即安排床邊創傷超音波,影像顯示右側胸腔已出現中量積液,懷疑是出血所致,進一步揪出是致命的「血胸」與多發性肋骨骨折。
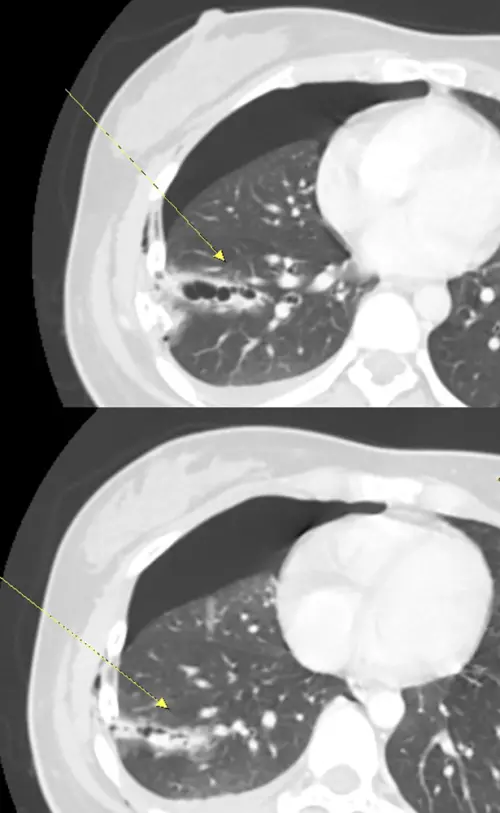
▲醫學影像檢查圖,兩節斷裂肋骨插入肺組織,造成肺臟破裂。(圖/澄清醫院提供) 胸腔損傷最怕「溫水煮青蛙」:血越積越多
胸腔外科杜承哲主任表示,胸腔損傷最怕的就是「溫水煮青蛙」,外觀看似只有瘀青,內部卻在持續出血。該患者經電腦斷層掃描,影像證實右側第5至7肋骨骨折,其中兩節肋骨明顯插入肺組織,造成肺臟破裂。
且胸腔內積血正持續增加,嚴重壓迫肺部擴張,單純引流恐無法止住出血,且無法解決肋骨不穩定的劇痛,若不緊急處理,患者隨時可能因呼吸衰竭或休克而危及生命,決定立即進行手術。
傳統治療恐併發症!肋骨固定手術恢復更佳
杜承哲說,為穩定患者病情,採用精準內固定手術,以內視鏡微創手術進入胸腔確定骨折處和出血點,清除積血並修補肺臟;再進行肋骨骨折復位固定手術,針對斷裂的肋骨使用專用骨板進行固定,重建胸廓穩定度。
一般傳統肋骨骨折多採保守治療(止痛藥、臥床),患者常因劇痛不敢深呼吸,易引發肺炎,嚴重的「連枷胸」情況更可能造成長時間的呼吸衰竭。透過現代化的「肋骨固定手術」,能大幅降低術後疼痛,讓患者早期下床復健,呼吸功能恢復更佳,避免嚴重的肺部併發症。
醫師提醒:胸口悶痛、呼吸不順別硬撐
平等澄清醫院急診室張維恆主任表示,外傷醫療是一場與死神拔河的接力賽。從急診的第一眼判斷、影像科的精準診斷、到外科手術的即時介入與術後照護,每個環節都不容許斷鏈,患者目前已順利出院。
杜承哲醫師提醒,車禍或撞擊後,若感覺胸口悶痛、呼吸困難,即使外觀無明顯傷口,仍應立即就醫檢查,排除氣胸、血胸或內臟出血的可能,以免錯失黃金治療期。
▲胸腔外科主任杜承哲。(圖/澄清醫院提供) 資料來源:澄清醫院
我是廣告 請繼續往下閱讀
一名23歲年輕女性,騎機車與汽車發生劇烈衝撞,送到平等澄清醫院急診室,患者僅主訴右胸疼痛、呼吸稍微不順,竟撞出肋骨斷裂併血胸,且胸腔內積血正持續增加,嚴重壓迫肺部擴張,危及生命。
胸腔外科主任杜承哲表示,女患者傷勢外觀看似一般的胸部挫傷,意識清楚,急診專科醫師在進行創傷評估時,發現其右側呼吸音異常且觸診疼痛明顯,直覺「案情並不單純」,立即安排床邊創傷超音波,影像顯示右側胸腔已出現中量積液,懷疑是出血所致,進一步揪出是致命的「血胸」與多發性肋骨骨折。
胸腔外科杜承哲主任表示,胸腔損傷最怕的就是「溫水煮青蛙」,外觀看似只有瘀青,內部卻在持續出血。該患者經電腦斷層掃描,影像證實右側第5至7肋骨骨折,其中兩節肋骨明顯插入肺組織,造成肺臟破裂。
且胸腔內積血正持續增加,嚴重壓迫肺部擴張,單純引流恐無法止住出血,且無法解決肋骨不穩定的劇痛,若不緊急處理,患者隨時可能因呼吸衰竭或休克而危及生命,決定立即進行手術。
傳統治療恐併發症!肋骨固定手術恢復更佳
杜承哲說,為穩定患者病情,採用精準內固定手術,以內視鏡微創手術進入胸腔確定骨折處和出血點,清除積血並修補肺臟;再進行肋骨骨折復位固定手術,針對斷裂的肋骨使用專用骨板進行固定,重建胸廓穩定度。
一般傳統肋骨骨折多採保守治療(止痛藥、臥床),患者常因劇痛不敢深呼吸,易引發肺炎,嚴重的「連枷胸」情況更可能造成長時間的呼吸衰竭。透過現代化的「肋骨固定手術」,能大幅降低術後疼痛,讓患者早期下床復健,呼吸功能恢復更佳,避免嚴重的肺部併發症。
醫師提醒:胸口悶痛、呼吸不順別硬撐
平等澄清醫院急診室張維恆主任表示,外傷醫療是一場與死神拔河的接力賽。從急診的第一眼判斷、影像科的精準診斷、到外科手術的即時介入與術後照護,每個環節都不容許斷鏈,患者目前已順利出院。
杜承哲醫師提醒,車禍或撞擊後,若感覺胸口悶痛、呼吸困難,即使外觀無明顯傷口,仍應立即就醫檢查,排除氣胸、血胸或內臟出血的可能,以免錯失黃金治療期。