一名3歲的患者半年內反覆出現「間歇性血便」的情形,家長曾多次帶她至診所就診並依便秘症狀治療,但服用診所開立的軟便藥後,仍時好時壞,家長擔心病情反覆,前往醫院求診,發現有約2公分大的單顆息肉;經治療後恢復良好。
台北慈濟醫院兒科部腸胃科醫師李致任表示,由於個案糞便潛血檢查呈陽性,經核子醫學掃描檢查,排除為小腸處的「梅克爾憩室」後,醫師進一步以無痛麻醉的方式,進行大腸鏡檢查,發現約2公分大的單顆息肉,隨即予以切除並止血,術後病理報告顯示為良性的幼年型大腸息肉。
李致任說,兒童血便的原因多樣,常與便秘有關,也可能與腸胃道感染、腸套疊、大腸息肉以及小腸處的梅克爾憩室相關。醫師指出,若出現血便情形,應先觀察糞便型態與顏色。若為硬便合併肛門疼痛,多半與便秘、肛裂有關。
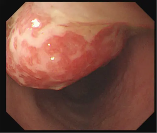
▲3歲個案半年內反覆出現「間歇性血便」,檢查發現是息肉。(圖/台北慈濟醫院提供) 幼年型息肉9成屬良性病變 好發1至7歲個案
但若糞便質地正常,卻反覆出現鮮紅或暗紅色血液,甚至持續數週以上,就必須提高警覺,進一步檢查出血來源。李致任提到,兒童常見的大腸息肉以「幼年型息肉」為主,臨床上約9成以上屬良性病變,其發生原因為偶發型,沒有特別的發生原因。
以台灣而言,臨床發生率約2%,好發年齡以1至7歲的學齡前兒童為主,最典型的症狀即為「無痛且反覆性的血便」,血色多為「鮮紅」或「暗紅色」,若長時間不予理會,部分孩童容易因慢性出血而出現臉色蒼白、活動力下降等缺鐵性貧血表現。
臨床診斷中,醫師會透過糞便顏色來分辨出血位置,若糞便顏色為黑色可能為胃、十二指腸等上消化道出血;若糞便顏色為鮮紅色可能為大腸、直腸處的下消化道出血。
血便可能性眾多,因此需諮詢兒童腸胃科醫師判斷,並安排適當檢查。李致任說明,大部分的幼年型息肉可透過大腸鏡進行微創切除;日常照護方面,醫師提醒,良好的飲食與生活型態是維持腸道健康的重要關鍵。家長可從日常三餐著手,讓孩子多攝取新鮮蔬菜、水果及含有膳食纖維的天然食材,並建立固定如廁時間與規律作息,幫助腸胃順暢運作。
李致任提醒,若孩子出現反覆血便、體重下降、生長停滯、發燒、臉色較為蒼白或精神活動力明顯下降等情況,應提高警覺、及早就醫,為孩子健康把關。
我是廣告 請繼續往下閱讀
李致任說,兒童血便的原因多樣,常與便秘有關,也可能與腸胃道感染、腸套疊、大腸息肉以及小腸處的梅克爾憩室相關。醫師指出,若出現血便情形,應先觀察糞便型態與顏色。若為硬便合併肛門疼痛,多半與便秘、肛裂有關。
但若糞便質地正常,卻反覆出現鮮紅或暗紅色血液,甚至持續數週以上,就必須提高警覺,進一步檢查出血來源。李致任提到,兒童常見的大腸息肉以「幼年型息肉」為主,臨床上約9成以上屬良性病變,其發生原因為偶發型,沒有特別的發生原因。
以台灣而言,臨床發生率約2%,好發年齡以1至7歲的學齡前兒童為主,最典型的症狀即為「無痛且反覆性的血便」,血色多為「鮮紅」或「暗紅色」,若長時間不予理會,部分孩童容易因慢性出血而出現臉色蒼白、活動力下降等缺鐵性貧血表現。
臨床診斷中,醫師會透過糞便顏色來分辨出血位置,若糞便顏色為黑色可能為胃、十二指腸等上消化道出血;若糞便顏色為鮮紅色可能為大腸、直腸處的下消化道出血。
血便可能性眾多,因此需諮詢兒童腸胃科醫師判斷,並安排適當檢查。李致任說明,大部分的幼年型息肉可透過大腸鏡進行微創切除;日常照護方面,醫師提醒,良好的飲食與生活型態是維持腸道健康的重要關鍵。家長可從日常三餐著手,讓孩子多攝取新鮮蔬菜、水果及含有膳食纖維的天然食材,並建立固定如廁時間與規律作息,幫助腸胃順暢運作。
李致任提醒,若孩子出現反覆血便、體重下降、生長停滯、發燒、臉色較為蒼白或精神活動力明顯下降等情況,應提高警覺、及早就醫,為孩子健康把關。